Galería de imágenes - Cardiología
Judit Verdés Martínez, Jordi López-Álvarez
Contacto: juditverdesmartinez@gmail.com
La radiografía torácica es considerada la herramienta “gold standard” para el diagnóstico de la insuficiencia cardíaca, puesto que esta es la técnica que permite confirmar lo que mediante ecocardiografía solamente puede intuirse. Esta evaluación pasa por valorar el parénquima pulmonar, el tamaño del corazón y los vasos pulmonares lobares que, en función de su diámetro relativo, nos harán sospechar de la presencia de congestión venosa o hipertensión pulmonar. Además, la radiología torácica es una herramienta inicial muy buena para la aproximación al paciente cardiópata, que nos permite no solo hacer una evaluación del tamaño global de la silueta cardíaca sino también evaluar el patrón de agrandamiento de las distintas cámaras del corazón. Con este fin, el aumento de tamaño localizado de alguna cámara puede describirse en las vistas laterales dividiendo el corazón en cuatro cuadrantes, puesto que cada una de las cámaras cardíacas se encuentra en uno de dichos cuadrantes (Fig. 1). Además, usando la analogía de la esfera del reloj en las vistas ventrodorsal o dorsoventral también tenemos una buena indicación de cuál o cuáles son las cámaras que pueden estar agrandadas (Fig. 2). También es importante recordar que en radiografía se valora la silueta cardíaca, incluyendo tanto el músculo cardíaco como el pericardio y el fluido pericárdico, que debería ser poco en volumen. En consecuencia, cualquier patología del saco pericárdico produce cambios en la morfología de la silueta cardíaca. También se debe considerar el estado de volemia del paciente, ya que pacientes hipovolémicos graves pueden mostrar una marcada microcardia. De este modo, combinando la información que aporta la anamnesis, el examen físico, la historia y los hallazgos radiográficos, se puede decidir si se trata de un problema respiratorio o cardíaco en la mayoría de los pacientes. Si la patología es cardíaca, en función del patrón de agrandamiento del corazón, la radiología torácica nos permite acotar mucho los diferenciales para cada paciente.
Figura 1
Proyección lateral derecha con diagrama de la localización anatómica de las cuatro cámaras cardíacas. AD: atrio derecho. AI: atrio izquierdo. VD: ventrículo derecho. VI: ventrículo izquierdo.
Figura 2
Proyección dorsoventral con diagrama de la localización anatómica de las distintas cámaras y grandes vasos. En color azul se representa corazón derecho y en color rojo corazón izquierdo. Ao: aorta. AP: arteria pulmonar. AD: atrio derecho. AI: atrio izquierdo. VD: ventrículo derecho. VI: ventrículo izquierdo.
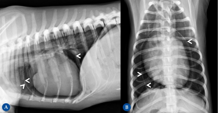
Figura 3
West Highland White Terrier macho castrado de 14 años presentado por tos crónica. En la proyección lateral derecha (Fig. 3A), la silueta cardíaca está aumentada de tamaño, ocupando 4 espacios intercostales (ref<2,5-3), produciendo un desplazamiento dorsal de la tráquea, adquiriendo una posición paralela respecto a la columna vertebral (flechas negras punteadas). El aumento del apoyo esternal en la vista lateral y apariencia de D invertida en la proyección DV de la Fig. 3B (mayor engrosamiento con una forma más redondeada, flechas blancas) son consistentes con cardiomegalia derecha. El cuadrante craneodorsal amplio está causado por dilatación del atrio derecho. Considerando la raza y los cambios en el parénquima pulmonar asociados, con un aumento de la opacidad pulmonar con áreas de patrón alveolointersticial, más marcado en lóbulos caudodorsales (cabezas de flecha) compatibles con posible fibrosis pulmonar, los cambios cardíacos son compatibles con un cor pulmonale por hipertensión pulmonar secundaria a la enfermedad respiratoria, afectando predominantemente al corazón derecho. También se detecta redundancia de la membrana dorsal de la tráquea (flechas negras), sugestivo pero no diagnóstico de colapso de tráquea.
Figura 4
Perro mestizo macho castrado de 12 años presentado para la investigación de soplo cardíaco debido a enfermedad degenerativa de la válvula mitral. La radiografía de la Fig. 4A (proyección lateral derecha) muestra cardiomegalia evidente, con un aumento severo del cuadrante caudodorsal, correspondiente con la dilatación marcada del atrio izquierdo (flechas negras). Esta causa elevación de la tráquea (paralela a la columna vertebral, cabezas de flecha negra) con compresión bronquial (puntos negros) debido al aumento de tamaño del atrio izquierdo. Ambos ventrículos están incrementados de tamaño, resultando en una silueta cardíaca que ocupa aproximadamente 3,5 espacios intercostales (ref<2,5-3). La presencia de leve patrón intersticial dorsocaudal hace sospechar de fases iniciales de insuficiencia cardíaca congestiva izquierda. La radiografía de la Fig. 4B (proyección lateral derecha) corresponde al mismo paciente, mostrando progresión severa de la enfermedad, ahora en fase terminal. Muestra marcada cardiomegalia generalizada, con la silueta cardíaca ocupando unos 4 EIC, con marcado desplazamiento dorsal de la tráquea y con compresión de los bronquios. También se detecta un patrón pulmonar intersticial generalizado con áreas de marcado aumento de la opacidad pulmonar (patrón alveolar), correspondiente a edema pulmonar cardiogénico marcado, signo de insuficiencia cardíaca izquierda.
Figura 5
Proyección lateral derecha. Doberman macho castrado de 11 años con cardiomiopatía dilatada. Aumento marcado del tamaño de la silueta cardíaca, ocupando más de dos tercios de la altura del tórax y con elevación de la tráquea. El cuadrante caudodorsal muestra dilatación del atrio izquierdo, que ha pasado a ser convexo en lugar de su forma cóncava habitual (flechas negras). Las venas de los lóbulos craneales aparecen prominentes (cabezas de flecha), presentando un grosor superior al tercio proximal de la 4ª costilla, consistente con la presencia de congestión venosa. Patrón pulmonar intersticial marcado con áreas de patrón alveolar perihiliar y en la región caudodorsal (flechas punteadas) compatible con edema pulmonar de origen cardiogénico.
Figura 6
Cachorro de Bretón de 4 meses remitido en fallo cardíaco congestivo debido a la presencia de un conducto arterioso persistente. (A) Proyección ventrodorsal. (B) Diagrama donde se marca sobre la imagen A las proyecciones anatómicas del "triple knuckle" según la analogía del reloj. Se observa cardiomegalia severa con “triple knuckle” debido a la dilatación marcada del cayado aórtico (de 11 a 1 h), la arteria pulmonar (de 1 a 2) y la orejuela del atrio izquierdo (de 2 a 3). Los bronquios principales caudales están separados entre ellos debido al gran tamaño del cuerpo del atrio izquierdo, dando lo que coloquialmente se llama “las piernas del vaquero”. El ápex izquierdo se ve redondeado y apoyado ampliamente sobre el diafragma, consistente con la presencia de dilatación ventricular izquierda severa. Congestión venosa y patrón pulmonar intersticial generalizado son signos de insuficiencia cardíaca congestiva izquierda. Línea de color amarillo: de 11 h a 1 h. Línea de color rojo: de 1 h a 2 h. Línea de color azul: de 2 h a 3 h. Ao: aorta. AP: arteria pulmonar.
Figura 7
Perro macho castrado de 2,5 años de edad. Se le detecta un soplo de grado I-II. (A) Proyección ventrodorsal. (B) Diagrama donde se marca sobre la imagen A la proyección anatómica de la arteria pulmonar (AP) . En la radiografía se visualiza un abultamiento (“knuckle”) en el área de proyección anatómica del tronco de la arteria pulmonar (línea roja), según la analogía del reloj entre la 1 h y las 2 h. Dicho paciente fue diagnosticado mediante estudio ecocardiográfico de estenosis pulmonar valvular, con gradiente de estenosis moderada. Este engrosamiento que se observa es debido a la dilatación post-estenótica.
Figura 8
Lebrel Afgano, hembra no castrada, 10 años. Radiografía lateral izquierda. Marcada ascitis, por fallo hepático por cirrosis. Marcada hipovolemia con imagen de microcardia. La silueta cardíaca ocupa 2 EIC, se encuentra elevada de su contacto esternal (flechas blancas), ocupado dicho espacio por tejido radiolúcido donde se identifican pequeños vasos pulmonares, por lo que no debe confundirse con neumotórax. Se trata de los lóbulos pulmonares. La vena cava caudal presenta un diámetro marcadamente reducido (cabezas de flecha) y los campos pulmonares se aprecian hiperlucentes (radiolúcidos) debido a un patrón pulmonar hipovascular. En el abdomen craneal incluido se observa un marcado aumento de la opacidad tejido blando, con pérdida del detalle de las serosas, debido a la presencia de ascitis (círculo punteado).
Figura 9
Gata Sphynx, hembra castrada, 1 año edad. El motivo de la consulta es marcada anemia hemolítica, con un hematocrito del 10%. (A) Proyección lateral derecha. En el estudio radiográfico en el momento del diagnóstico se detecta una marcada cardiomegalia, una silueta cardíaca que ocupa 4 EIC, con una forma marcadamente redondeada, y con una elevación de la tráquea. Los vasos pulmonares también se observan moderadamente aumentados de grosor (flechas blancas). Se inicia el tratamiento y se realiza ecocardiografía a los 10 días, donde no se observa ninguna alteración cardíaca congénita. La principal sospecha es de una cardiomegalia compensatoria secundaria a la anémica crónica. (B) Proyección lateral derecha. En la radiografía de control se aprecia una reducción significativa de la cardiomegalia previamente observada.
Figura 10
Golden Retriever de 10 años. Hemopericardio y pericarditis reactiva. (A) Proyección lateral derecha. (B) Proyección ventrodorsal. Diagnosticado previamente de linfoma pericárdico T atípico, en tratamiento quimioterápico. Se puede diferenciar la efusión pericárdica de la cardiomegalia en que la efusión pericárdica ocasiona un engrosamiento globoso generalizado, con bordes lisos, redondeados y muy bien definidos, sin evidenciarse un engrosamiento de una cámara cardíaca en concreto. En esta paciente se observa una silueta cardíaca que ocupa más de 2/3 del ancho de la cavidad torácica en la Fig. 10B y más de un 80% en la Fig. 10A con un mayor eje craneocaudal, ocupando 4 EIC.
Figura 11
(A) Proyección lateral izquierda. (B) Proyección lateral derecha. Cruce de Labrador, hembra castrada, 9 años. Hernia peritoneo-pericárdico diafragmática conteniendo parte del hígado, vesícula biliar y grasa falciforme. Hallazgo incidental sin sintomatología asociada, se detecta como parte de protocolo diagnóstico neurológico por posibles convulsiones. Aspecto globoso de la silueta cardíaca que presenta un aumento moderado del tamaño, unos márgenes redondeados en las diferentes proyecciones ortogonales y un desplazamiento dorsal de la tráquea. Se observa signo de silueta entre el margen caudoventral de la silueta cardíaca y el diafragma (flecha negra). La silueta cardíaca presenta una opacidad mixta tejido blando y grasa, con la presencia de una área aproximadamente nodular de opacidad tejido en el margen caudal, ventral a la vena cava caudal en las proyecciones laterales (6ª espacio intercostal) (flechas negras punteadas). Además, se detecta presencia de contenido de opacidad grasa (círculo punteado). En el abdomen craneal incluido, se detecta una disminución evidente del tamaño de la silueta hepática (signo del abdomen vacío) [círculo blanco], sin visualizarse el aspecto ventral de los lóbulos hepáticos y con un desplazamiento craneodorsal marcado del eje gástrico (región pilórica) (la línea blanca representa el eje gástrico desplazado; debería ser paralelo a las costillas, perpendicular a la columna vertebral).
Figura 12
(A) Proyección lateral derecha. (B) Proyección ventrodorsal. Conviene recordar que en radiografía se valora el conjunto de la silueta cardíaca, que incluye el miocardio, pericardio y líquido pericárdico. Paciente con neumopericardio iatrogénico tras resolución quirúrgica de una hernia peritoneo-pericárdico diafragmática. Se identifica una fina línea de opacidad tejido blando (cabezas de flecha) creando una bolsa alrededor del corazón en ambas proyecciones radiográficas. Entre esta línea y el corazón se identifica un contenido de opacidad gas, lo que permite diferenciar con mayor claridad las cámaras cardíacas. En condiciones fisiológicas, en el espacio pericárdico se localiza una mínima cantidad de líquido, todo ello de opacidad tejido blando, por lo que no permite diferenciar los distintos componentes y por eso se determina como silueta cardíaca.















