Hidroureteronefrosis secundaria a un granuloma por probable cuerpo extraño en el muñón uterino tras una ovariohisterectomía en una perra
Secondary hydroureteronephrosis due to a suspected foreign body granuloma in the uterine stump following ovariohysterectomy in a bitch
B. Mena-Moros, M. Soler, J. Carrillo, F. G. Laredo, A. Agut
Contacto: beatrizmena1910@gmail.com
Resumen
Se realiza una ecografía abdominal a una perra castrada de 2 años que presentaba hematuria, en la que se observa una masa heterogénea con una zona central hiperecogénica con sombra acústica caudal a la vejiga y ventral al colon. La citología de la masa reveló un proceso inflamatorio no séptico. El diagnóstico presuntivo fue granuloma por cuerpo extraño del muñón uterino debido al empleo de seda en la ligadura del pedículo, la cual fue extirpada. Un año después, la paciente presentaba polaquiuria. En la ecografía se observó una masa similar a la descrita anteriormente, hidronefrosis e hidrouréter izquierdo. Se realizó una tomografía computarizada donde además de los hallazgos ecográficos, se visualizaron adherencias de la masa al uréter derecho. Se realizó la nefrectomía del riñón izquierdo y tres meses después, la paciente presentaba vómitos y apatía. En la ecografía se observó una masa similar a la observada previamente, hidronefrosis e hidrouréter derecho. Debido al mal pronóstico se recomendó la eutanasia. En conclusión, la hidroureteronefrosis secundaria a granuloma por cuerpo extraño, provocado por el uso de suturas no absorbibles en la ligadura del pedículo uterino durante ovariohisterectomía, es una complicación poco frecuente. Sin embargo, es importante tenerla en consideración en pacientes con esta sintomatología. Se recomienda evitar el uso de material no absorbible.
Palabras clave: granuloma, seda, hidronefrosis, hidrouréter, perra, ovariohisterectomía.
Clin Vet Peq Anim 2021, 41 (3): 155-160
Summary
A 2-year-old neutered bitch was presented with haematuria. An abdominal ultrasound was performed. A heterogeneous mass with a central hyperechoic area with acoustic shadow caudal to the bladder and ventral to the colon was observed. Cytology of the mass revealed a non-septic inflammatory process. The most likely diagnosis was a foreign body granuloma of the uterine stump, due to the use of silk for pedicle ligation, which was excised. One year later, the patient presented pollakiuria. A mass similar in appearance to the one seen in the previous ultrasound was observed, in addition to left hydronephrosis and hydroureter. A Computed Tomography scan was performed. In addition to the ultrasonographic findings, adhesions of the mass to the right ureter were visualized. Treatment included a left kidney nephrectomy. Three months later, the patient presented with lethargy and vomiting. Ultrasound examination revealed a mass with similar characteristics to the previous ultrasound exams, as well as right hydronephrosis and hydroureter. Due to the poor prognosis, euthanasia was recommended. In conclusion, hydroureteronephrosis secondary to foreign body granuloma, caused by the use of non-absorbable ligatures at the ovarian and uterine pedicles during ovariohysterectomy is a rare complication. However, this complication is possible and should be taken into account in patients with these clinical signs. The use of non-absorbable material as ligatures should be avoided.
Keywords: granuloma, silk, hydronephrosis, hydroureter, bitch, ovariohysterectomy.
Clin Vet Peq Anim 2021, 41 (3): 155-160
La presencia de este logo en un artículo de la revista indica que se publicará un examen sobre el mismo en la plataforma AVEPA Elearning. Su resolución aporta 0,15 créditos dentro del sistema de acreditaciones de especialidades veterinarias de AVEPA.
Introducción
La ovariohisterectomía es una técnica quirúrgica muy utilizada en la clínica de pequeños animales. Las complicaciones de la misma se clasifican como complicaciones menores (es decir, se resuelven, procesos autolimitantes) o mayores (es decir, comprometen la vida, requieren tratamiento largo o una cirugía adicional), aunque también pueden clasificarse según el momento de aparición (intraoperatorias, postoperatorias o postoperatorias tardías).1,2
Las complicaciones menores que ocurren durante la cirugía y en la primera semana tras la misma son las más comunes, como hemorragias intraoperatorias, seromas, infecciones de la sutura y retraso de la cicatrización. Las complicaciones mayores son menos frecuentes e incluyen hidrouréter/hidronefrosis, piometra de muñón, tejido ovárico remanente, granuloma en el pedículo ovárico y de muñón uterino, trayectos fistulosos, adherencias, obstrucción intestinal y hemorragias severas.2,3
El objetivo de este trabajo es describir un caso de hidroureteronefrosis bilateral secundaria a un granuloma por cuerpo extraño del muñón uterino en una perra tras la ovariohisterectomía.
Descripción del caso clínico
Una perra mestiza castrada de 2 años y de 11,4 kg de peso fue remitida al servicio de diagnóstico por imagen de nuestro hospital para realizar una ecografía abdominal. El informe remitido por el veterinario especificaba que observó en una radiografía de abdomen una masa en el abdomen caudal y, además, la paciente presentaba hematuria, con la orina de un color verdoso.
En el examen ecográfico del abdomen se observó, caudal a la vejiga de la orina y ventral al colon descendente, una masa redondeada bien delimitada con bordes irregulares de aproximadamente 3 cm de diámetro, de ecotextura heterogénea y ecogenicidad mixta, moderadamente vascularizada. En su interior se visualizó una estructura hiperecogénica de 0,6 cm de longitud que producía sombra acústica (Fig. 1A). El aspecto ecográfico de la vejiga era normal, con contenido anecogénico. El resto de las estructuras abdominales tampoco presentaban alteraciones ecográficas evidentes.
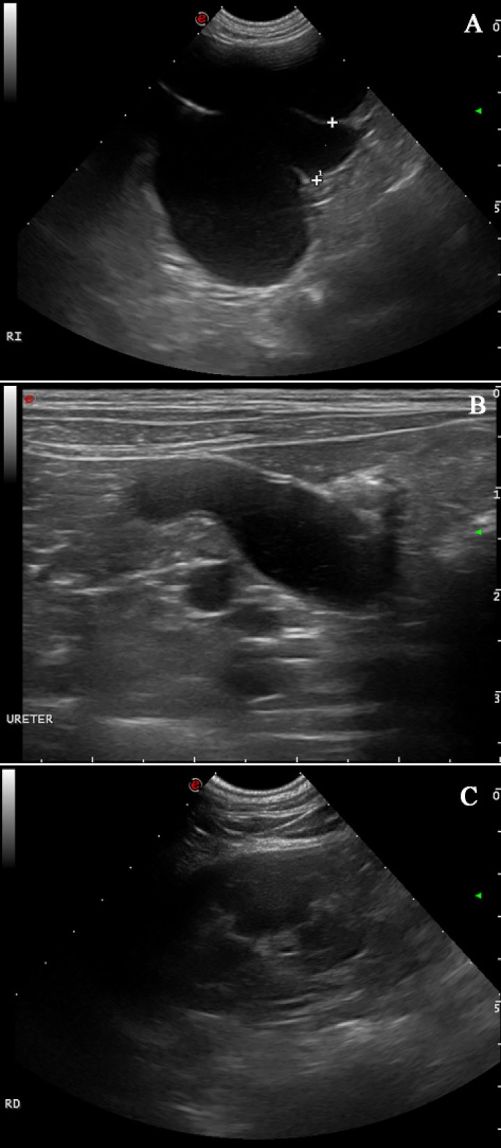
Figura 1
Imágenes ecográficas de la masa en diferentes momentos de presentación. (A) Día de la presentación: Masa redondeada, bien definida de ecotextura heterogénea y ecogenicidad mixta caudal a la vejiga de la orina y en cuyo interior se visualiza una estructura hiperecogénica (flecha blanca) que proyecta sombra acústica (asterisco). (B) Imagen obtenida un año más tarde donde se observa una masa de similares características a la figura 1A. v: vejiga de la orina.
Con los hallazgos ecográficos y con su historial de perra castrada donde se utilizó seda como material para la ligadura de los pedículos ováricos y uterino, el diagnóstico presuntivo más probable fue de granuloma por cuerpo extraño del muñón uterino, siendo otros diagnósticos diferenciales menos probables hematoma, absceso o neoplasia. Para alcanzar el diagnóstico definitivo se practicó una punción ecoguiada con aguja fina de la masa y el estudio citológico reveló un proceso inflamatorio no séptico. Por lo tanto, el diagnóstico más probable fue el de granuloma por cuerpo extraño en el muñón uterino. Se recomendó la resección de la masa, la cual se realizó en la clínica veterinaria de origen.
Un año más tarde, la paciente fue remitida para un examen ecográfico porque presentaba polaquiuria y en la analítica sanguínea unos valores de creatinina levemente aumentados (1,53 mg/dl; rango normal: 0,7 a 1,4 mg/dl). El resto de los parámetros se encontraron dentro de los valores de referencia. En la evaluación ecográfica se visualizó una masa de características similares a la observada un año antes y en el mismo lugar (Fig. 1B) de 2,5 cm de diámetro. Además, la pelvis renal y divertículos del riñón izquierdo se encontraban marcadamente dilatados por líquido anecogénico con una mínima remanencia de la corteza renal (Fig. 2A). El uréter ipsilateral también estaba severamente dilatado en todo su trayecto con contenido anecogénico, midiendo 1,65 cm de diámetro y pudiendo seguir su recorrido hasta la masa en la que se encontraba involucrado (Fig. 2B). El riñón derecho presentaba un aspecto normal (Fig. 2C). El diagnóstico presuntivo fue de hidronefrosis e hidrouréter izquierdo severo debido a compresión del uréter izquierdo por parte de un granuloma por cuerpo extraño en el muñón uterino.
Figura 2
Imágenes ecográficas al año de la primera presentación. (A) Hidronefrosis del riñón izquierdo: se observa una marcada dilatación de la pelvis renal y divertículos del riñón izquierdo por líquido anecogénico con una mínima remanencia de la corteza renal. (B) Severo hidrouréter izquierdo con contenido líquido anecogénico. (C) Riñón derecho de aspecto normal.
Para caracterizar mejor la masa y las estructuras adyacentes a la misma se recomendó la realización de una tomografía computarizada (TC). El estudio se realizó bajo anestesia general y con la paciente en decúbito esternal. Se realizaron series pre-contraste y post-contraste, inmediatamente y a los 5 minutos tras la administración de un contraste iodado hidrosoluble no-iónico (Iopromida 300 mg I/ml a una dosis de 600 mg I/kg intravenoso, administrado a través de un inyector a una velocidad de 3 ml/s), con cortes de 3 mm de grosor e intervalo 1,5 mm con algoritmo estándar (tejido blando) y hueso.
El estudio de TC se evaluó en ventana de tejido blando y hueso, visualizándose una masa caudal y dorsal a la vejiga de la orina, de forma ovalada, bordes bien definidos de atenuación tejido blando (60 UH) y con medidas aproximadas de 3,10 cm (altura) x 4,32 cm (anchura) x 4,10 cm (longitud). Tras la administración del contraste la masa presentaba una captación de contraste levemente heterogénea (150 UH) inmediatamente y a los 5 minutos (120 UH) (Fig. 3A). Además, se observó hidronefrosis e hidrouréter izquierdo, este último con un trayecto tortuoso cuya visualización se interrumpía a nivel del abdomen caudal, adyacente al colon y sin poder observar su inserción en la vejiga (Figs. 3B, C y D). El uréter derecho se visualizó con un diámetro normal y relleno de contraste, bordeando la masa en dirección dorsal y lateral e introduciéndose en el interior de esta (Fig. 3A). El diagnóstico fue el mismo que se realizó en la ecografía, observándose, además, la adherencia del uréter derecho a la masa.
Figura 3
mágenes de tomografía computarizada en ventana de tejido blando y post-contraste inmediato: (A) Corte sagital. (B) Corte dorsal oblicuo. (C) Corte parasagital. (D) Corte transversal. Se visualiza la masa (m) caudal a la vejiga de la orina (asterisco) y ventral al colon descendente (c) con una captación de contraste ligeramente heterogénea. El uréter izquierdo se visualiza dilatado, con un trayecto tortuoso (flechas blancas) e íntimamente relacionado al colon descendente (c). El uréter derecho se visualiza íntimamente relacionado con la masa en su inserción en la vejiga de la orina, presentando un tamaño normal (cabeza de flecha blanca).
Se recomendó la nefrectomía del riñón izquierdo debido a la hidronefrosis severa y la posible liberación del uréter derecho. Tras una laparotomía media, se realizó la nefrectomía izquierda, observándose en la exploración quirúrgica que tanto el uréter derecho como la vejiga de la orina se encontraban adheridos al granuloma, no pudiéndose llevar a cabo la resección del mismo de forma segura. No se realizó el estudio histopatológico de los órganos extirpados ni de la masa por motivos económicos.
Tres meses más tarde la paciente regresó al hospital porque estaba apática y presentaba vómitos esporádicos. Se realizó una analítica sanguínea en la que se halló una insuficiencia renal marcada con unos valores de creatinina de 7,83 mg/dl (rango normal: 0,5 a 1,5 mg/dl) y urea de 147,7 mg/dl (rango normal: 20-50 mg/dl), y una anemia no regenerativa leve con un hematocrito del 35 % (rango normal: 37-55 %) y un RDW del 12 % (rango normal: 12,5-16,0 %). En el examen ecográfico del abdomen, se visualizó una masa caudal a la vejiga de características similares a la observada previamente, hidronefrosis severa del riñón derecho (Fig. 4A) e hidrouréter, que medía 1,61 cm de diámetro (Fig. 4B). Debido al mal pronóstico de la paciente los dueños decidieron realizar la eutanasia, no autorizando la realización de la necropsia.
Figura 4
Imágenes ecográficas a los tres meses de la segunda presentación. (A) Hidronefrosis del riñón derecho: se observa una marcada dilatación de la pelvis renal y divertículos del riñón derecho por líquido anecogénico con una mínima remanencia de la corteza renal. (B) El uréter derecho (u) dorsal a la vejiga de la orina (v) e involucrado con la masa (flecha blanca) se visualiza dilatado (hidrouréter).
Discusión
La hidronefrosis y/o el hidrouréter son complicaciones urológicas poco frecuentes tras una ovariohisterectomía. La causa más común es la ligadura iatrogénica del uréter y, entre otras causas menos frecuentes, figura la inadecuada cicatrización del muñón ovárico o uterino.3,4 Estas se producen como consecuencia de una reacción inflamatoria focal del tejido uterino remanente causada generalmente por el uso de suturas no absorbibles.1,2,5,6 En nuestro caso, sospechamos que la causa desencadenante del granuloma del muñón uterino, que posteriormente provocó la hidronefrosis, fue el empleo de seda como material de sutura para realizar las ligaduras tanto ováricas como uterina. El granuloma involucró a ambos uréteres, primero al izquierdo y luego al derecho, provocando hidroureteronefrosis bilateral en diferentes etapas. Según la bibliografía consultada por los autores no se han encontrado artículos publicados que describan una hidroureteronefrosis bilateral a consecuencia de un granuloma por cuerpo extraño en el muñón uterino tras una ovariohisterectomía.
La sintomatología provocada por un granuloma por cuerpo extraño es inespecífica y va a depender del lugar de aparición del granuloma.1,5 En nuestro caso, la paciente se presentó con hematuria y, posteriormente, polaquiuria debido a que el granuloma presionaba la vejiga de la orina.
El diagnóstico de los granulomas debido a cuerpos extraños puede ser un reto, sobre todo cuando se presentan mucho tiempo después de haberse realizado la cirugía. La radiografía o la ecografía pueden ser las primeras técnicas de imagen que utilicemos según la sintomatología que manifieste el paciente. En este caso, en la radiografía realizada por el veterinario remitente se observó una masa en el abdomen caudal. Debido a que en la radiografía no podemos diferenciar el líquido del tejido blando, ya que presentan la misma opacidad, si se observan masas en el abdomen se recomienda realizar una ecografía para caracterizar mejor el aspecto que presentan dichas masas.1,5 En nuestro caso, en la ecografía se visualizó una masa bien delimitada de márgenes irregulares, de ecotextura heterogénea, ecogenicidad mixta y moderadamente vascularizada. Además, en el primer estudio se observó una estructura hiperecogénica central que producía sombra acústica compatible, lo más probable, con un resto de la sutura de seda o con una mineralización distrófica de los tejidos en esa zona. También permitió visualizar las alteraciones que se habían producido a nivel de los riñones y uréteres.
Las técnicas de imagen avanzadas como la TC nos pueden ayudar a elaborar un plan quirúrgico adecuado debido a que eliminamos la superposición de estructuras que ocurre en las radiografías y los artefactos ecográficos, que pueden aparecer cuando la masa se localiza en abdomen caudal y se extiende por el canal pélvico. Además, se obtiene una visión más amplia y en varios planos de la masa, así como la relación de esta con otras estructuras.7 En este caso, la masa se observó caudal y dorsal a la vejiga de la orina, de morfología ovalada y bien definida, de atenuación tejido blando y con una captación de contraste ligeramente heterogénea. Además, debido a que el contraste administrado por vía endovenosa se excreta por los riñones,7 nos permitió visualizar el trayecto de ambos uréteres y observar así el uréter izquierdo dilatado y tortuoso, mientras que el uréter derecho se encontraba involucrado en la masa y presentaba un diámetro normal.
El tratamiento recomendado en el caso del granuloma por cuerpo extraño del muñón uterino es la resección quirúrgica de la masa.1,6,8 Además, en este caso se realizó la nefrectomía del riñón izquierdo debido a que el riñón presentaba hidronefrosis. No fue posible la liberación del uréter derecho que se encontraba adherido a la masa junto con la vejiga de la orina. Estos hallazgos llevaron a que 3 meses después el riñón derecho también hubiera desarrollado una hidronefrosis. Otros procedimientos quirúrgicos podrían haberse planteado en este caso, como la cistectomía en la zona de adherencia de la vejiga con una neoureterostomía del uréter derecho, pero dado el mal pronóstico y el alto coste económico de esta intervención, los propietarios optaron por la eutanasia.
Aunque el diagnóstico definitivo de cualquier masa siempre tiene que alcanzarse mediante un estudio histopatológico, en este paciente no fue posible debido a una limitación económica. En este caso, la historia clínica y el hecho de que el estudio citológico de la masa revelara un origen inflamatorio permitieron establecer un diagnóstico presuntivo de granuloma por cuerpo extraño, como consecuencia del material no absorbible utilizado en la ligadura de los pedículos.
En conclusión, aunque el granuloma por cuerpo extraño provocado por el uso de suturas no absorbibles tras una ovariohisterectomía es una complicación poco frecuente, hay que tenerla en cuenta, ya que puede tener consecuencias nefastas como la hidroureteronefrosis secundaria de este caso y puede llegar a comprometer a medio-largo plazo la vida del paciente. El uso de material no absorbible en la ligadura del muñón y los pedículos ováricos debe evitarse.
Fuente de financiación: este trabajo no se ha realizado con fondos comerciales, públicos o del sector privado.
Conflicto de intereses: los autores declaran que no existe conflicto de intereses.
Nota de la autora: el presente caso clínico fue presentado en formato póster en el 55º Congreso Nacional de AVEPA-SEVC celebrado en formato virtual durante los días 3-5 y 10-12 de noviembre de 2020.
Bibliografía
- 1.
Boza S, Lucas X, Zarelli M, et al: Late abscess formation caused by silk suture following hysterectomy in a female dog. Reprod Domest Anim 2010; 45(5): 934-936.
[pubMed] - 2.
Coolman BR, Marretta SM, Dudley MB, Averill SM: Partial Colonic Obstruction Following Ovariohysterectomy: A Report of Three Cases. J Am Anim Hosp Assoc 1999; 35(2): 169-172.
[pubMed] - 3.
Chul-Ho P, Yong-Min K, Sang-Ho L, Ki-Seok O, Chang-Ho S: Unilateral hydroureteronephrosis caused by adhesion of the ureter following ovariohysterectomy in a bitch. J Emb. Trans 2015; 30(3): 261-263.
- 4.
Aparicio M, Vicente WRR, Farias A, et al. Pyonephrosis following ovariohysterectomy in a bitch. Ars Veterinaria 2007; 23 (1): 019-022.
- 5.
Erdoğan G and Yaygıngül R: Clinical Features and Surgical Outcomes of Suture Granulomas Following Ovariohysterectomy in Two Dogs. Animal Health Prod and Hyg 2020; 9(1): 703-706.
- 6.
Kanazono S, Aikawa T, Yoshigae Y: Unilateral hydronephrosis and partial ureteral obstruction by entrapment in a granuloma in a spayed Dog. J Am Anim Hosp Assoc 2009; 45(6): 301-304.
[pubMed] - 7.
Rozear L and Tidwell AS: Evaluation of the ureter and ureterovesicular junction using helical computed tomographic excretory urography in healthy dogs. Vet Radiol ultrasound 2003; 44(2): 155-164.
[pubMed] - 8.
Ruiz de Gopegui R, Espada Y, Majo N: Bilateral hydroureter and hydronephrosis in a nine-year-old female German shepherd dog. J Small Anim Pract 1999; 40(5): 224-226.
[pubMed]







