Caso clínico de Cirugía
J.D. Carrillo, M.S. Echalecu, M. Soler, M.J. Fernández del Palacio, J.S. Alcaraz, A. Agut
Contacto: juanacs@um.es
Historia clínica
Se presenta en el Hospital Clínico Veterinario un perro de raza carlino, de 11 meses de edad, entero y 9,6 kg de peso, por un cuadro clínico desde hacía dos semanas con crisis de tos y disminución del apetito. El veterinario remitente le había pautado un tratamiento médico a base de codeína, doxiciclina y furosemida, respondiendo con una leve mejoría clínica. En el examen físico se evidenció, como único dato reseñable durante la auscultación torácica, un aumento de los sonidos traqueales y un sonido de roncus. El análisis sanguíneo reveló leucocitosis con desviación a la izquierda. Se realizaron radiografías de la cavidad torácica (Fig. 1).
Figura 1
Tórax en un perro carlino de 11 meses e historia de tos y disminución del apetito. (A) Proyección lateral derecha. (B) Proyección ventrodorsal.
¿Cuáles son los diagnósticos diferenciales más probables?
El diagnóstico diferencial de un paciente con un cuadro de tos crónica y hallazgos radiográficos observados en el parénquima pulmonar (Fig. 2) como son aumento de la opacidad en la parte craneal del lóbulo craneal izquierdo y leve efusión pleural es el de patología del lóbulo craneal izquierdo. Dentro de las alteraciones compatibles se debería incluir, en orden de mayor a menor probabilidad: la torsión del lóbulo pulmonar, consolidación pulmonar, neumonía y neoplasia.
Figura 2
(A) Proyección lateral derecha de tórax. Se aprecia la presencia de efusión pleural (flechas negras). (B) Proyección ventrodorsal. Se visualiza un incremento de la opacidad en la zona del lóbulo craneal izquierdo (flechas negras).
¿Qué otra(s) técnica(s) diagnóstica(s) sería(n) útil(es) para llegar al diagnóstico definitivo?
En los casos en los que los hallazgos radiográficos no sean concluyentes del proceso presente en la cavidad torácica, la técnica de imagen con mayor eficacia para llegar al diagnóstico definitivo es la realización de una tomografía computarizada (TC). Sin embargo, cuando la lesión presenta contacto con la pared torácica la ecografía es de gran utilidad para visualizar el aspecto ecográfico que presenta el parénquima.
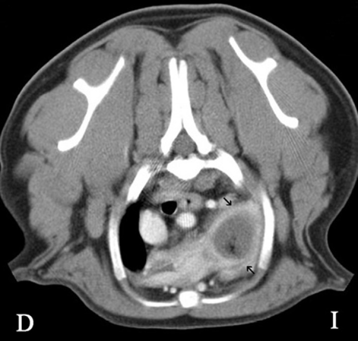
En el caso clínico que se presenta, la TC de la cavidad torácica evidenció una interrupción abrupta del bronquio lobar craneal izquierdo, observándose el lóbulo pulmonar craneal izquierdo (porción craneal y caudal) completamente consolidado con una pequeña zona enfisematosa en su porción más craneal, estando aumentado de tamaño y ocasionando una leve desviación hacia la derecha del mediastino craneal (Fig. 3). Tras la administración de contraste, el lóbulo presentó un realce en anillo con una zona central que no se realzaba con el contraste, siendo compatible con un área de necrosis o la formación de un absceso (Fig. 4).
Figura 3
Imagen de tomografía computarizada (TC) en plano dorsal y reconstrucción en MinP. Se evidencia una interrupción del bronquio lobar craneal izquierdo (asterisco), visualizándose dicho lóbulo pulmonar (flechas negras) consolidado.
Figura 4
Imagen de tomografía computarizada (TC) del tórax en plano transversal en ventana de tejido blando tras la administración del contraste. Se visualiza en la zona del lóbulo craneal izquierdo un realce en anillo (flechas negras) con una zona central sin realce.
En base a los resultados observados en la TC, el diagnóstico más probable según las características de la lesión, la raza y la historia clínica fue de torsión pulmonar del lóbulo craneal izquierdo.
¿Qué plan terapéutico instaurarías?
La toracotomía exploratoria y lobectomía del lóbulo craneal izquierdo es el tratamiento de elección en este caso con el objetivo de resolver la sintomatología del paciente, remitir el lóbulo afectado para su estudio histopatológico y realizar un cultivo y antibiograma del material contenido en el lóbulo afectado.
Para la realización de la lobectomía del lóbulo pulmonar torsionado, comúnmente se utiliza un abordaje por toracotomía intercostal, a diferente nivel en función del lóbulo afectado (Tabla 1). En el caso que se presenta, y para acceder a la zona del hilio del lóbulo pulmonar craneal izquierdo, se posicionó el paciente anestesiado en decúbito lateral derecho, se realizó una depilación y preparación aséptica del costado izquierdo, realizándose un bloqueo con bupivacaína (Bupivacaína B. Braun 1,25 mg/ml, 0,5 mg, Braun Medical, Barcelona) de los nervios intercostales bajo supervisión ecoguiada. Se realizó una incisión cutánea a nivel del quinto espacio intercostal izquierdo, llegando a la cavidad torácica a través de los planos musculares y separando las costillas quinta y sexta con ayuda de un separador Finochietto. Una vez identificado el lóbulo afectado, se separó del resto de lóbulos pulmonares mediante el uso de gasas humedecidas en suero salino fisiológico atemperado.
Abordaje intercostal en función del lóbulo pulmonar afectado.
Dada la presencia de torsión, a nivel del hilio bronquial se hace difícil diferenciar los vasos sanguíneos del bronquio (Fig. 5). Es importante tener en cuenta que nunca debe deshacerse la rotación del hilio, ya que se liberarían citoquinas inflamatorias y endotoxinas que se han acumulado en el órgano torsionado por la falta de riego sanguíneo y oxígeno, y que serían perjudiciales para el paciente si entraran en el torrente circulatorio. Por esta razón se recomienda realizar una ligadura transfixiante en masa o un nudo de Miller modificado lo más distal al lóbulo pulmonar posible, pudiéndose utilizar una sutura monofilamento reabsorbible o no absorbible de 2-0 ó 3-0. Se procede con la colocación de dos pinzas de Satinsky en el bronquio a ambos lados de la ligadura y se incide entre las dos pinzas, proximal a la ligadura, extrayendo de esta forma el lóbulo afectado y sin desrotarlo.
Figura 5
Imagen quirúrgica del lóbulo pulmonar craneal izquierdo, una vez liberado de las adherencias al lóbulo pulmonar adyacente y a la pleura, en la que se observa la zona de la torsión en el hilio bronquial (flechas blancas).
Otra opción quirúrgica, más rápida y preferible, aunque de mayor coste, es el uso de una grapadora quirúrgica automática, como se hizo en este caso por preferencia del cirujano (Fig. 6A). El uso de grapadoras quirúrgicas aporta una mayor seguridad en el cierre del bronquio y ligadura de la vascularización, con un corte limpio y dejando varias filas de grapado (2 ó 3) proximalmente o a ambos lados de la incisión, dependiendo del tipo de grapadora quirúrgica utilizada (TA o GIA) (Fig. 6B).
Figura 6
Imagen quirúrgica durante el empleo de la grapadora quirúrgica para la realización de la lobectomía pulmonar (A), y detalle del sellado con doble línea de micrograpas (flechas negras) una vez finalizado el procedimiento (B).
La impermeabilidad o estanqueidad del cierre realizado en el bronquio se confirma mediante el llenado de la cavidad torácica con suero salino fisiológico atemperado y evaluando la presencia de burbujas o no en varios ciclos respiratorios. En el caso de que exista fuga de aire (aunque en los casos de torsión es infrecuente), se pueden dar puntos sueltos adicionales o colocar tejido pleural adyacente sobre el muñón bronquial y vascular. Se aspira el suero salino y se cierra la pared torácica de forma rutinaria por capas. Para la reconstitución de la presión negativa intratorácica, puede colocarse un tubo de drenaje torácico. En este caso, se utilizó un prolongador con llave de tres vías colocado en el último punto de cierre de la pared costal, retirándose una vez que no era posible extraer más cantidad de aire intratorácico.
Por otra parte, la lobectomía pulmonar también puede ser realizada mediante cirugía de mínima invasión por toracoscopia, siendo una técnica menos agresiva que la toracotomía intercostal, aunque requiere de un equipamiento apropiado y experiencia por parte del cirujano.
En el caso que se presenta, se remitió una muestra del lóbulo afectado para su estudio histopatológico, en el que se observó una marcada presencia de neutrófilos polimorfonucleares en los espacios aéreos, con focos de secuestro rodeados de abundante tejido conectivo e histiocitiosis alveolar (Fig. 7). El diagnóstico definitivo fue de bronconeumonía purulenta crónica.
Figura 7
Imagen histopatológica de una porción del lóbulo pulmonar torsionado. Se visualiza un detalle de la zona central de uno de los amplios secuestros observados en el parénquima pulmonar en la que puede evidenciarse una extensa necrosis. 40x, hematoxilina-eosina.
Discusión
La torsión del lóbulo pulmonar es una patología de baja incidencia en la clínica diaria que puede poner en riesgo la vida del paciente.1 Consiste en la rotación a nivel del hilio broncovascular del lóbulo pulmonar a lo largo de su eje longitudinal.1 Su fisiopatología es poco conocida, se ha descrito la posibilidad de que su desarrollo esté asociado a una alteración en el espacio torácico que da lugar a una mayor movilidad del lóbulo pulmonar, lo que permite que se produzca un giro a nivel de su hilio, provocando la constricción de los vasos y bronquio involucrados.2
Se puede presentar de forma espontánea o estar asociado a múltiples factores predisponentes como son el padecimiento de un traumatismo, presencia de enfermedad en el espacio pleural, cirugía torácica o abdominal previa, hernia diafragmática o enfermedad del parénquima pulmonar.1,3 En el caso que se presenta, no se asoció con ninguna condición predisponente, por lo que se consideró un proceso espontáneo.
La torsión de los lóbulos pulmonares, principalmente del lóbulo pulmonar medio derecho, se ha observado con mayor frecuencia en perros de tórax profundo y gran tamaño, sobre todo en el lebrel afgano,1 ya que en estas razas dicho lóbulo pulmonar tiene una forma estrecha, su pedículo broncovascular es delgado y tiene escasas conexiones a las estructuras circundantes.4 En perros de pequeño tamaño esta patología se presenta con menor incidencia, describiéndose en el carlino, yorkshire terrier, caniche miniatura y mestizos.3 En concreto, en el carlino hay estudios que sugieren que es una raza predispuesta a la torsión, sobretodo del lóbulo craneal izquierdo, en pacientes macho de edad temprana y con una presentación predominantemente espontánea.3-6 La conformación de su tórax en barril y la forma más alargada y puntiaguda de dicho lóbulo, similar al lóbulo pulmonar medio derecho de perros grandes y tórax profundo, permite la fácil rotación de su hilio.3,4
Los signos clínicos y los datos laboratoriales pueden orientar hacia el diagnóstico presuntivo de la torsión del lóbulo pulmonar, aunque los estudios de imagen son fundamentales para llegar al diagnóstico definitivo. Los signos clínicos asociados a esta patología incluyen disnea, taquipnea, letargia, anorexia y en un caso incluso síncopes asociados a la crisis de tos, en ocasiones con hemoptisis.4 En nuestro caso, la tos y la pérdida de apetito fueron los únicos signos clínicos observados.
Por otra parte, se ha descrito que el 59 % de estos pacientes presentan leucocitosis, de los cuales solo el 23 % evidencian una desviación a la izquierda.3 En este caso, se manifestó una leucocitosis con desviación a la izquierda.
Los hallazgos radiográficos que se han descrito en la torsión pulmonar incluyen derrame pleural, atelectasia lobar, consolidación lobar, desplazamiento mediastínico, pneumotórax y pneumomediastino. Estos signos se consideran inespecíficos, ya que también pueden observarse en diferentes procesos, como la neoplasia y la hernia diafragmática. En casos de efusión pleural, este líquido suele ser serosanguinolento o quiloso, con alto número de eritrocitos y leucocitos. Las anomalías radiográficas más características de esta patología son la presencia de un patrón de gas vesicular y un bronquio estrecho,1,7 aunque no se llegan a visualizar en todos los casos. En nuestro paciente únicamente se evidenciaba un aumento de la opacidad en la zona del lóbulo craneal izquierdo y leve efusión pleural, requiriéndose de pruebas de imagen más avanzadas como la tomografía computarizada (TC) para llegar al diagnóstico definitivo.
La TC es la herramienta de imagen de elección para el estudio del parénquima pulmonar. En los casos con torsión pulmonar, esta técnica avanzada de diagnóstico por imagen permite la visualización de bronquios con una terminación abrupta, una posición anormal del lóbulo pulmonar y la falta de realce de contraste en todo el lóbulo pulmonar agrandado,4,8 siendo signos patognomónicos del proceso. Estos cambios fueron evidenciados en nuestro paciente, junto con una leve efusión pleural, la cual es indicativa de cronicidad del proceso en pacientes con torsión pulmonar.4
El tratamiento resolutivo de la torsión pulmonar es la lobectomía del lóbulo afectado sin la desrotación del mismo para evitar la liberación de citoquinas y endotoxinas. Las complicaciones postoperatorias incluyen pleuritis subaguda, toxemia aguda, torsión pulmonar recurrente y derrame quiloso.5 En nuestro paciente no se observó ninguna de estas complicaciones postoperatorias.
En esta patología el pronóstico, de forma general, es de reservado a desfavorable, dependiendo de la causa subyacente o la presencia de complicaciones postoperatorias como el quilotórax y la pleuritis.2,9 Aunque en los casos clínicos de torsión pulmonar descritos en la raza carlino se ha evidenciado, en su mayoría, una buena evolución,3-6 por lo que en esta raza el pronóstico parece ser favorable. En el caso descrito, la evolución fue positiva desapareciendo la sintomatología tras el tratamiento quirúrgico. En conclusión, la torsión del lóbulo pulmonar plantea un desafío diagnóstico, ya que los signos clínicos, los hallazgos físicos y las anomalías de laboratorio suelen ser inespecíficos, precisándose del empleo de técnicas de imagen, principalmente la tomografía computarizada, para su diagnóstico definitivo. El tratamiento quirúrgico mediante lobectomía del lóbulo afectado es la única opción terapéutica efectiva para su resolución.
Fuente de financiación: este trabajo no se ha realizado con fondos comerciales, públicos o del sector privado.
Conflicto de intereses: los autores declaran que no existe conflicto de intereses.
Bibliografía
- 1.
Gicking JC, Aumann M. Lung lobe torsion. Compend Contin Educ Vet, 2011; 33: E1-E4.
[PubMed] - 2.
Neath PJ, Brockman DJ, King LG. Lung lobe torsion in dogs: 22 cases (1981-1999). J Am Vet Med Assoc, 2000; 217: 1041-1044.
[PubMed] - 3.
Murphy KA, Brisson BA. Evaluation of lung lobe torsion in pugs: 7 cases (1991-2004). J Am Vet Med Assoc, 2006; 228: 86-90.
[PubMed] - 4.
Davies JA, Snead EC, Phar JW. Tussive syncope in a pug with lung-lobe torsion. Can Vet J, 2011; 52: 656-660.
[PubMed] - 5.
Rooney MB, Lanz O, Monnet E. Spontaneous lung lobe torsion in two pugs. J Am Anim Hosp Assoc, 2001; 37(2):128-130.
[PubMed] - 6.
Latimer CR, Lux CN, Sutton JS, Culp WTN. Lung lobe torsion in seven juvenile dogs. J Am Vet Med Assoc, 2017; 251:1450-1456.
[PubMed] - 7.
Agut A, Carrillo JD, Seva J, Soler M, Laredo FG. What is your diagnosis? Lung lobe torsion. J Am Med Assoc 2013; 243: 333-335.
[PubMed] - 8.
Seiler G, Schwarz T, Vignoli M, Rodriguez D. Computed tomographic features of lung lobe torsion. Vet Radiol Ultrasound, 2008; 49:504-508.
[PubMed] - 9.
Rossanese M, Wustefeld-Janssens B, Price C, Mielke B, Wood S et al. Long-term survival after treatment of idiopatic lung lobe torsion in 80 cases. Vet Surg, 2020; 49:659-667.
[PubMed]











