Galería de imágenes – Hematología
Esther Torrent Galindo, Mariano Morales Amella
Contacto: esthertorrent@yahoo.com
Visualización de agentes patógenos en el frotis sanguíneo
El estudio microscópico del frotis sanguíneo se utiliza comúnmente para la identificación de agentes infecciosos. Estos microorganismos pueden encontrarse libres en el plasma (sobre el fondo de la preparación) o afectando diferentes células sanguíneas. Dependiendo de su tamaño, algunos de ellos se pueden detectar mediante el objetivo de 10 aumentos (10x), mientras que otros van a requerir el objetivo de inmersión (100x). La sensibilidad de la técnica depende de la cantidad de microorganismos, posibles citopenias del paciente, la experiencia del observador y el tiempo invertido en el estudio del frotis. La especificidad depende principalmente de los conocimientos del observador y, en parte, también de la conservación de la muestra. Las técnicas de reacción en cadena de la polimerasa (PCR), que están disponibles para algunos agentes infecciosos, pueden utilizarse como un complemento de la observación microscópica, pero no deberían sustituir el examen completo del frotis sanguíneo.
Figura 1
Filariosis. Las microfilarias son larvas de nemátodos que parasitan perros y, raramente, gatos. Pueden verse con el objetivo de 10x, sobre todo en las puntas del frotis. Son estructuras serpentiformes, de unas 300 µm, cuyos núcleos celulares se tiñen de color azulado. La clasificación de la especie por su morfología en frotis es difícil, ya que el extremo cefálico y la cola se tiñen poco y el tipo de fijación puede alterar su tamaño. Para la identificación de la especie se recomiendan otras técnicas (PCR, tinción de fosfatasa ácida, etc.). En esta imagen, la forma redondeada de la cabeza y la cola con final recto serían compatibles con Dirofilaria immitis.
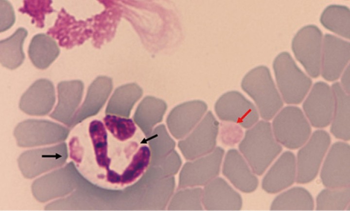
Figura 2
Moquillo. De forma transitoria, en la fase aguda de esta enfermedad pueden verse inclusiones víricas (agregados de proteínas de la nucleocápside del virus) en los eritrocitos y en el citoplasma de neutrófilos, monocitos y linfocitos. Las inclusiones (flechas negras) miden entre 1 y 4 μm, son homogéneas, de formas redondeadas a ovaladas o irregulares, y en las tinciones rápidas habituales son de color rosa. Su detección es poco habitual, pero es patognomónica de la infección. No deben confundirse con plaquetas (flecha roja), cuerpos de Howell-Jolly (en eritrocitos, de color violáceo y más pequeños) o cuerpos de Döhle (en los neutrófilos y de color azulado).
Figura 3
Babesiosis. Las babesias son piroplasmas que parasitan los eritrocitos provocando diferentes grados de anemia, trombocitopenia y fiebre. La sangre capilar puede presentar mayor carga parasitaria que la sangre venosa. En nuestra zona geográfica encontramos babesias grandes (B. canis y B. vogelis) que miden entre 2,5 y 5 μm. Tienen formas ovaladas (a veces en forma de lágrima), aunque su aspecto puede variar dependiendo de la conservación de la sangre. En la Fig. 3A se observan cuatro merozoitos intraeritrocitarios (flechas negras) en parejas de B. canis, con un citoplasma azul claro, núcleo azul oscuro y una pared celular evidente. Las babesias de tamaño pequeño descritas en España son B. gibosni y otra especie que no está completamente identificada, similar a B. microti (denominada B. microti-like). Su tamaño (1 a 2,5 μm) hace que su detección requiera una evaluación más detallada del frotis sanguíneo. Tienen forma de anillo con una membrana delgada, citoplasma claro y núcleo pequeño azulado/violáceo. En la Fig. 3B se observan varios merozoitos de B. microti-like (flechas negras), en un paciente con anemia muy regenerativa y eritrocitos con cuerpos de Howell-Jolly (flecha roja).
Figura 4
Micoplasmas hemotrópicos. Hay diferentes especies de micoplasmas hemáticos que afectan a gatos: Mycoplasma haemofelis (Fig. 4A), Candidatus M. haemominutum y Candidatus M. turicensis; así como a perros: M. haemocanis (Fig. 4B) y Candidatus M. haematoparvum. El cuadro clínico (desde detección incidental a anemia hemolítica) depende de la especie y de posibles patologías concomitantes. Son bacterias muy pequeñas, de 0,1 a 1 μm (M. haemofelis, la más patogénica en gatos, es la de mayor tamaño), que se sitúan sobre la superficie de los eritrocitos en forma de cocos, bastoncillos y raramente en anillo (flecha negra). En ocasiones también pueden observarse libres sobre el fondo de la preparación (flecha amarilla). No deben confundirse con cuerpos de Howell-Jolly (flecha azul), habitualmente de mayor tamaño, ni con restos de tinción u otros detritus. Se identifican más fácilmente (flechas rojas) cuando se presentan en cadenas o la disposición epicelular es más evidente. Se detectan mejor en muestras de sangre capilar y en frotis frescos. Ante poca cantidad de microorganismos es recomendable realizar pruebas de PCR que, además, permiten determinar la especie.
Figura 5
Cytauxzoonosis. En Europa Cytauxzoon felis puede encontrarse en gatos enfermos (en el curso tardío de la enfermedad) o portadores sanos. Los microorganismos (flechas rojas) son intraeritrocitarios, miden de 1 a 2 µm, tienen forma de anillo de sello, con un núcleo azul/violáceo excéntrico y un citoplasma pálido. Ocasionalmente, pueden tener un núcleo bipolar. Son parecidos a otros piroplasmas de tamaño pequeño y no deben confundirse con micoplasmas en forma de anillo (que suelen estar en las zonas más periféricas de los eritrocitos) ni con otras estructuras como cuerpos de Heinz (flecha verde).
Figura 6
Hepatozoonosis. En Europa esta enfermedad está causada por Hepatozoon canis, un protozoo que suele causar síntomas leves e inespecíficos en perros, habitualmente en el momento de liberación de los gamontes en la sangre periférica. Los gamontes (flechas negras) parasitan el citoplasma de los neutrófilos, detectándose una proporción variada de células afectadas (en general entre el 1 y el 5 %) que suelen disponerse en la periferia del frotis. Se pueden observar a 40x, tienen forma de cápsula clara o muy levemente basofílica, de unas 11 x 4 μm, con un núcleo que normalmente no se tiñe. En sangre vieja puede verse únicamente la cápsula vacía.
Figura 7
Anaplasmosis. A. platys es el causante de la trombocitopenia cíclica infecciosa canina y A. phagocytophilum de la ehrlichiosis granulocítica en perros y gatos. Ambas son bacterias intracelulares obligadas de tamaño muy pequeño que se reproducen en fagosomas dentro de las células hemáticas, formando colonias bacterianas denominadas mórulas. Las mórulas de A. platys (flechas de la Fig. 7A) se observan dentro de las plaquetas. Su eliminación en sangre es cíclica, lo que, junto con la presencia de un número bajo de plaquetas, puede dificultar su detección. Las inclusiones de A. platys son de color azul oscuro y deben distinguirse de los gránulos de las plaquetas que son de color magenta y más irregulares. A. phagocytophilum (Fig. 7B) es una bacteria cocobacilar, de 0,3 a 1,3 μm de diámetro y hasta 2 μm de longitud, que infecta más comúnmente a los neutrófilos. Las mórulas (flecha negra) aparecen como inclusiones redondas, a menudo punteadas (compuestas por varias subunidades bacterianas) y se tiñen más oscuro que el núcleo de la célula infectada.
Figura 8
Ehrlichiosis. Ehrlichia canis es también una bacteria intracelular obligada que afecta a perros y raramente a gatos. Tanto la fase aguda de la enfermedad como la crónica pueden presentarse con alteraciones hematológicas. De forma muy ocasional en sangre circulante pueden observarse mórulas (flecha amarilla) en el citoplasma de linfocitos y/o monocitos. La cantidad de leucocitos infectados suele ser muy baja, por lo que los métodos de leucoconcentración (como en esta figura) mejoran su detección. Aun así, las técnicas de PCR son las recomendadas para obtener una mejor sensibilidad.
Figura 9
Leishmaniosis. Aunque es poco habitual, algunos perros con leishmaniosis pueden presentar amastigotes en sangre periférica, fagocitados por los neutrófilos o raramente por los monocitos. Las flechas negras señalan dos amastigotes intracelulares de Leishmania infantum. Los amastigotes son de ovalados a redondeados, miden 1-2 x 2-4 μm, presentan un citoplasma de color claro envuelto por una membrana, con un núcleo ovalado violáceo oscuro. La visualización del quinetoplasto, normalmente perpendicular al núcleo y de color similar, facilita la identificación del parásito. Se desconoce la significación clínica de su observación en sangre.












