¿Cuál es tu Diagnóstico?
L. López, A. Ribas, A. Meléndez, R. Salgüero
Contacto: lopezcubillolaura@gmail.com
Historia clínica
Acude al servicio de urgencias un perro mestizo, macho castrado de 9 años y 27 kg, con un cuadro de distrés respiratorio, hiporexia y letargia de aparición aguda. También se documentó una historia previa de tos intermitente e intolerancia al ejercicio de varias semanas de evolución.
La exploración física general mostró taquipnea y taquicardia, así como disminución de los sonidos cardiacos en la auscultación cardiopulmonar. El resto del examen físico fue normal.
Se realizó una analítica sanguínea en la que se detectó una leucocitosis neutrofílica leve (leucocitos 20,9 K/µl, RN: 5-16,7 K/µl; neutrófilos 16,06 K/µl, RN: 2,95-11,6 K/µl) con monocitosis moderada (3,68 K/µl, RN: 0,16-1,12 K/µl). No se identificaron alteraciones a nivel bioquímico o electrolítico. Además, se realizó una ecografía torácica mostrando un derrame pleural bilateral severo, por lo que se procedió a su drenaje.
El líquido era de apariencia macroscópica serosanguinolenta y su estudio fue compatible con un trasudado modificado, rico en proteínas (2 g/dl), cuya citología no mostró células de origen tumoral.
Tras la estabilización del paciente se realizaron tres proyecciones radiográficas del tórax (Fig. 1).
Figura 1
Radiografías de la cavidad torácica de un perro mestizo de 9 años. (A) Proyección lateral derecha. (B) Proyección lateral izquierda. (C) Proyección ventrodorsal.
¿Cuáles son las principales alteraciones radiológicas observadas en nuestro paciente?
Se observa la presencia de una silueta de opacidad líquido/tejido blando, márgenes irregulares y poco definidos, que provoca un aumento marcado de la anchura del mediastino craneal (>2 veces el ancho de la columna vertebral) en la proyección ventrodorsal (VD), localizada en el aspecto ventral del mediastino craneal (Fig. 2). Dicha lesión produce un moderado efecto masa y desplaza la tráquea en sentido dorsal en las proyecciones laterales, así como la silueta cardiaca y los lóbulos pulmonares craneales en sentido caudodorsal compatible con una masa mediastínica.
Figura 2
Mismas imágenes que en Figura 1. Se observa una silueta de opacidad líquido/tejido blando (asteriscos negros) en el mediastino craneoventral, produciendo elevación dorsal de la tráquea (flecha negra) y desplazamiento en sentido caudodorsal de la silueta cardiaca (flechas blancas) (A y B). Además, se aprecia atelectasia del lóbulo medio derecho (flechas amarillas) (C) y pequeñas estructuras de opacidad gas (asterisco blanco) (A).
Los lóbulos pulmonares caudales presentan los bordes redondeados debido al derrame pleural remanente tras el drenaje (Fig. 2). Además, se visualizan varias estructuras de densidad gas en el aspecto caudoventral del tórax, superpuesto parcialmente con la silueta cardiaca. Dicho gas puede ser de origen mediastínico o pleural, posiblemente yatrogénico. Se aprecia un moderado patrón bronco-intersticial generalizado con atelectasia del lóbulo medio derecho, sin evidencia de nódulos o masas pulmonares. La silueta cardiaca no presenta alteraciones reseñables (índice vertebral cardiaco: 10.2).
El resto de estructuras intra y extratorácicas visibles no muestran alteraciones evidentes.
En base a los hallazgos radiológicos, ¿cuáles consideras que son los diagnósticos diferenciales más probables?
Los diagnósticos diferenciales de la presencia de una masa mediastínica de localización craneoventral incluyen procesos neoplásicos (p. ej., linfoma, timoma, carcinoma ectópico tiroideo, entre otros) y procesos no tumorales incluyendo quistes, abscesos, granulomas o linfadenopatías, entre otros.
¿Es necesario realizar otras técnicas de diagnóstico por imagen o pruebas para alcanzar el diagnóstico definitivo?
En este caso, las radiografías permitieron el diagnóstico de la masa mediastínica tras el drenaje pleural diagnosticado mediante la ecografía torácica realizada. En pacientes con sintomatología respiratoria severa, esta prueba permite la identificación del derrame pleural y de la lesión mediastínica, que en las radiografías puede estar enmascarada. Sin embargo, la radiología, a pesar de tener una elevada sensibilidad para la detección de masas torácicas, no permite en muchas ocasiones determinar claramente los límites de las mismas, ni valorar el resto de estructuras mediastínicas, sobre todo en presencia de derrame.
Por este motivo, se realizó una ecografía torácica (Fig. 3) como siguiente paso donde, mediante un abordaje paraesternal izquierdo, se identificó una masa heterogénea y principalmente hipoecoica, de grandes dimensiones (aprox. 8 x 6 cm) y bordes irregulares, ocupando el mediastino craneoventral y que, tras ser evaluada con Doppler color, resultó no presentar vascularización. Además, se observó una pequeña cantidad de derrame pleural anecoico. Sin embargo, no se identificaron linfadenopatías, por lo que no se pudo descartar un origen ganglionar de la misma. El corazón no mostró alteraciones.
Figura 3
Ecografía torácica en la que se observa una masa heterogénea y principalmente hipoecoica en el mediastino craneal.
En vista de los hallazgos torácicos, se realizó una ecografía abdominal (Fig. 4) con el fin de descartar otras posibles lesiones. Dicho estudio mostró la presencia de un nódulo hipoecoico (9 x 6 mm), de bordes poco definidos y no vascularizado empleando el Doppler color, en la cola esplénica. Los posibles diferenciales incluyeron un infiltrado metastásico o lesión benigna (hiperplasia nodular, hematopoyesis extramedular). El resto del abdomen fue normal.
Figura 4
Nódulo hipoecoico observado en el parénquima esplénico durante la realización de la ecografía abdominal.
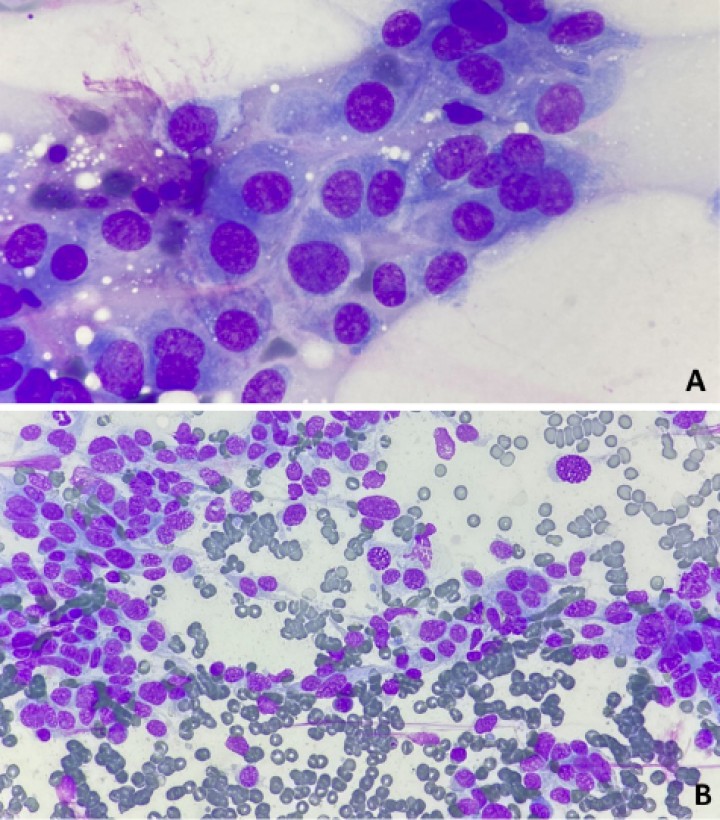
Debido a los hallazgos encontrados, se realizaron citologías mediante punción y aspiración con aguja fina ecoguiadas de las lesiones mediastínica y esplénica (Fig. 5). El diagnóstico citológico de ambas estructuras fue de una neoplasia mesenquimal maligna caracterizada por la presencia de una población de células no cohesivas de fusiformes a estrelladas, con hemofagocitosis y numerosos criterios de malignidad. Estos hallazgos hacen que un hemangiosarcoma sea el diagnóstico más probable por las características citomorfológicas, especialmente la eritrofagia encontrada por parte de algunas de las células neoplásicas. Este fenómeno se describe en otros tumores como el osteosarcoma y en algunas neoplasias de células redondas no compatibles citológicamente con este caso.1 Sin embargo, no disponer de la posibilidad de realizar histopatología resultó un factor limitante para alcanzar el diagnóstico definitivo.
Figura 5
Citologías de los aspirados realizados mediante ecografía tanto de la lesión mediastínica (A 100x) como del nódulo esplénico (B 40x) mediante tinción panóptica rápida (Wright modificado) caracterizadas por la presencia de una población de células no cohesivas fusiformes a estrelladas con hemofagocitosis y numerosos criterios de malignidad.
Las grandes dimensiones de la masa mediastínica, así como su ecogenicidad heterogénea apoyaron que esta fuera la neoplasia primaria, ya que el nódulo esplénico era de muy pequeño tamaño y no presentaba las características más frecuentemente descritas de un hemangiosarcoma esplénico primario.2
El mal pronóstico de esta neoplasia, la presencia de metástasis esplénica y el estado del paciente determinaron la instauración de un tratamiento médico paliativo, principalmente basado en corticoesteroides a 1 mg/kg/día, sin recomendar pruebas de imagen avanzadas o un tratamiento quirúrgico. Desafortunadamente, no se realizó histopatología de la lesión. Finalmente, debido a la progresión y deterioro de la sintomatología clínica, se decidió la eutanasia humanitaria a las tres semanas del diagnóstico.
Comentario
Las masas mediastínicas son frecuentes en pequeños animales y no siempre se asocian a sintomatología respiratoria como tos o disnea siendo, en algunas ocasiones, un hallazgo incidental.
Aunque la radiología es la primera técnica de elección para valoración del tórax en medicina veterinaria, resulta difícil diferenciar entre una masa de origen mediastínico, pulmonar o pleural.3 Por este motivo, en ocasiones, se requieren pruebas complementarias como la tomografía computarizada para una mejor caracterización de la lesión, identificar la densidad de la misma, descartar la presencia de metástasis, reconocer una posible invasión vascular y planear un tratamiento quirúrgico.3 Otra técnica de gran utilidad es la ecografía torácica, realizada en nuestro caso, ya que está más disponible, posibilita la diferenciación entre las distintas ecogenicidades, permite evaluar el tamaño y los bordes de la lesión, su grado de vascularización, así como guiar la toma de muestras.
En nuestro paciente, la masa se localizaba en el mediastino craneoventral, siendo el linfoma y el timoma los tumores más comúnmente diagnosticados. Por el contrario, los sarcomas, como en nuestro caso, y los carcinomas de tiroides/paratiroides se consideran raros.4 Desafortunadamente, no tuvimos diagnóstico histopatológico de la masa, pero la sospecha clínico-patológica fue de un hemangiosarcoma por sus características citomorfológicas.1
En referencia a los sarcomas mediastínicos primarios en perros, hasta la fecha se han descrito solamente cuatro casos en la literatura veterinaria: un perro con un fibrosarcoma4 y tres con hemangiosarcoma de origen no cardiaco,5 uno de los cuales se asoció con la muerte súbita del paciente.6 Los hemangiosarcomas torácicos, como en nuestro caso, suelen tener un origen cardiaco, afectando principalmente a la aurícula derecha, aunque puede localizarse también en el pericardio, la base del corazón o las cámaras cardiacas izquierdas.7
Como conclusión, los autores recomiendan englobar como diagnóstico diferencial masas mediastínicas en perros con efusión pleural, incluyendo el hemangiosarcoma mediastínico. En muchas ocasiones, las lesiones mediastínicas craneales están asociadas con derrame pleural.
Fuente de financiación: este trabajo no se ha realizado con fondos comerciales, públicos o del sector privado.
Conflicto de intereses: los autores declaran que no existe conflicto de intereses.
Bibliografía
- 1.
Barger AM, Skowronski MC, MacNeill AL. Cytologic identification of erythrophagocytic neoplasms in dogs. Vet Clin Pathol 2012; 41(4): 587-589.
[PubMed] - 2.
Millar SL, Zersen KM. Diagnostic value of the ultrasonographic description of a splenic mass or nodule as cavitated in 106 dogs with nontraumatic hemoabdomen. Am J Vet Res 2021; 82(12): 970-974.
[PubMed] - 3.
Our TJ, Hamel PE, Jennings SH, Bain PJ, Jennings DE, Berg J. Radiographic Differentiation of Cranial Mediastinal Lymphomas from Thymic Epithelial Tumors in Dogs and Cats. J Am Anim Hosp Assoc 2019; 55(4): 187-193.
[PubMed] - 4.
McGrath AM, Salyer SA, Seelmann A et al. Mediastinal Fibrosarcoma in a Dog–Case Report. Front Vet Sci. 2022 Feb 9;9.
[PubMed] - 5.
Yoon HY, Kang HM, Lee MY. Primary cranial mediastinal hemangiosarcoma in a young dog. Ir Vet J 2014;67(1): 1-5.
[PubMed] - 6.
Sitjar P CAYKVJM. Sudden death due to primary mediastinal hemangiosarcoma in a canine. Veterinaria (Montevideo) 2020; 56(213).
- 7.
Smith AN. Hemangiosarcoma in dogs and cats. Vet Clin North Am Small Anim Pract 2003; 33(3): 533-552.
[PubMed]








