Pseudoaneurisma venoso de presunto origen yatrogénico causado al realizar una biopsia ósea
Venous pseudoaneurysm of presumed iatrogenic origin caused by performing a bone biopsy
Contacto: francescosorioc@hotmail.com
Resumen
Se describe el caso de un paciente canino con un carcinoma tonsilar con muy probable metástasis en fémur derecho, en el cual durante las pruebas de imagen realizadas para investigar su enfermedad neoplásica se halló un pseudoaneurisma de la vena femoral visualizado mediante ecografía y tomografía computarizada (TC). Los aneurismas y pseudoaneurismas son dilataciones de los vasos en los cuales una de las capas de la pared está dañada. Las etiologías más frecuentes son traumatismos y origen yatrogénico. Estas lesiones vasculares pueden ser asintomáticas o comprometer la vida del paciente. Sospechamos que el origen de este pseudoaneurisma es yatrogénico y fue ocasionado durante la toma de una biopsia ósea de una lesión femoral adyacente.
Palabras clave: pseudoaneurisma, yatrogénico, neoplasia, biopsia ósea, perro.
Clin Vet Peq Anim 2025, 45 (1): 19-25
Summary
The case of a canine patient with tonsillar carcinoma with very probable metastasis to the right femur is described, in which during the imaging tests performed to investigate his neoplastic disease, a pseudoaneurysm of the femoral vein was found, visualized by ultrasound and computed tomography (CT). Aneurysms and pseudoaneurysms are dilations of the vessels in which one of the layers of the wall is damaged. The most common etiologies are trauma and iatrogenic origin. These vascular lesions can be asymptomatic or compromise the patient's life. We suspect that the origin of this pseudoaneurysm is iatrogenic and was caused during a bone biopsy of an adjacent femoral lesion.
Keywords: pseudoaneurysm, iatrogenic, neoplasia, bone biopsy, dog.
Clin Vet Peq Anim 2025, 45 (1): 19-25
La presencia de este logo en un artículo de la revista indica que se publicará un examen sobre el mismo en la plataforma AVEPA Elearning. Su resolución aporta 0,15 créditos dentro del sistema de acreditaciones de especialidades veterinarias de AVEPA.
Introducción
Los pseudoaneurismas de origen yatrogénico son hallazgos infrecuentes en medicina veterinaria. Se describe el caso de un paciente oncológico al cual, durante el diagnóstico y estadiaje de su tumor, se le detectó una lesión compatible con un pseudoaneurisma de origen probablemente yatrogénico después de la toma de una biopsia ósea en el fémur derecho.
Caso clínico
Un perro macho no castrado de raza boxer de 7 años de edad fue derivado al servicio de medicina interna por presentar una cojera causada por una posible neoplasia ósea. El paciente había acudido inicialmente al centro referidor con una cojera de la extremidad pelviana derecha de dos meses de evolución. Se habían realizado radiografías de las extremidades pelvianas donde se había observado una lesión lítico-proliferativa en el fémur derecho de la que se tomó biopsia sin obtener un diagnóstico definitivo. En nuestro centro, los tutores comentaron que el paciente estaba apático y con heces intermitentemente blandas. Durante la exploración física, el paciente presentaba una buena condición corporal (5/9), linfadenopatía poplítea derecha y una cojera con apoyo de la extremidad posterior derecha sin zonas engrosadas a la palpación ni puntos dolorosos. Se palpó, además, una masa cervical ventral inmóvil de aproximadamente 5 cm de diámetro, no dolorosa.
Se realizó analítica sanguínea con hemograma y bioquímica, en las que no se hallaron alteraciones, y test rápido para determinación de leishmaniosis (Speed Leish K, Virbac, Barcelona), cuyo resultado fue negativo.
Posteriormente y bajo anestesia [metadona (Metasedin, Esteve, Barcelona) a 0,2 mg/kg IV, dexmedetomidina (Dexdomitor, Zoetis, Barcelona) a 1 µg/kg IV y propofol (propofol Lipuro, Bbraun, Barcelona) a 3 mg/kg IV], se efectuó un estudio de TC de cuello, tórax, abdomen y extremidades torácicas y pelvianas (Aquilion 16 cortes, Canon Medical, Madrid). Se realizaron series precontraste y postcontraste en fase venosa temprana con iohexol (Omnipaque 300 mg/ml, GE Healthcare, Barcelona) a 600 mg/kg IV, administrado a 3 ml/s mediante inyector automático (Medrad Stellant, Bayer Medical Care, Maastricht), y que se evaluaron con algoritmos de tejido blando, pulmón y hueso con cortes de 2 mm de grosor.
En el cuello se observó una masa que afectaba a la tonsila palatina derecha, con márgenes irregulares y realce postcontraste heterogéneo. El linfonodo retrofaríngeo medial derecho estaba engrosado, con realce heterogéneo y zonas hipoatenuantes. El diagnóstico diferencial más probable para estas lesiones era una neoplasia afectando a la tonsila (probablemente carcinoma) con metástasis en dicho linfonodo retrofaríngeo medial derecho.
En la diáfisis media y metáfisis distal del fémur derecho, se visualizó una lesión ósea con características agresivas (Fig. 1). Presentaba un aumento de atenuación de la cavidad medular del hueso, heterogénea, y una reacción perióstica sólida y con “borde de cepillo” que rodeaba de forma concéntrica el fémur. Esta lesión era compatible con un proceso neoplásico óseo primario o metastático (osteosarcoma o sarcoma histiocítico), o con un proceso infeccioso (fúngico o menos probablemente otros como leishmaniosis o hepatozoonosis). En la cortical laterocaudal, se observó un defecto óseo con márgenes bien definidos, probablemente producido por la biopsia descrita en la historia.
Figura 1
(A) Imagen de TC en ventana hueso en un corte transversal. En la sección femoral de la extremidad pelviana derecha se observa una lesión agresiva con reacción perióstica y aumento de la atenuación medular. Se aprecia asimismo un defecto cortical presumiblemente causado por la biopsia ósea realizada previamente. (B) Imagen de TC en ventana hueso reconstruida en plano dorsal. En el fémur derecho se visualizan las lesiones óseas descritas en (A). (C) Imagen de TC en ventana hueso reconstruida en plano sagital. Se observa la lesión ósea de características agresivas y el defecto cortical descrito en (A). Caudodistalmente al defecto óseo provocado presumiblemente durante la biopsia, se intuye una estructura redondeada ligeramente hiperatenuante respecto a los tejidos adyacentes compatible con el pseudoaneurisma descrito en este caso.
En los tejidos blandos junto al aspecto caudodistal del fémur, se visualizó una estructura redondeada, de 3 cm de diámetro y de atenuación líquido/tejido blando en precontraste, con un realce marcado postcontraste sugestivo de estructura vascular (Figs. 2 y 3). La vena y arteria femoral derecha presentaban apariencia normal hasta el aspecto distal del fémur, donde la vena femoral parecía conectar con la estructura descrita. La arteria femoral quedaba en íntimo contacto con dicha estructura, aunque no parecía estar conectada. Este hallazgo era compatible con una dilatación aneurismática afectando a la vena femoral. Distalmente a esta lesión, la arteria y vena poplíteas se observaban ligeramente más distendidas en comparación al lado contralateral. También había un leve aumento de atenuación de la grasa subcutánea de forma difusa distal a la lesión compatible con edema subcutáneo.
Figura 2
(A) Imagen de TC en ventana tejidos blandos, tras la administración de contraste, reconstruida en plano sagital y MIP (proyección de máxima intensidad). Se observa una estructura redondeada con marcada captación de contraste caudal al fémur y caudodistal al defecto femoral. (B) Imagen de TC en ventana de tejidos blandos, tras la administración de contraste, reconstruida en plano sagital oblicuo y MIP. Detalle de la lesión descrita en (A) y de su relación con la vascularización regional.
Figura 3
(A) Imagen de TC reconstruida en Volumen Rendering (3D), tras administración de contraste (visión caudal). Se observa, caudalmente al aspecto distal de la diáfisis femoral, una estructura redondeada con gran captación de contraste (flechas naranjas) aparentemente conectada con la vena femoral y en íntima relación con la arteria femoral. (B) Imagen de TC reconstruida en Volumen Rendering (3D), tras administración de contraste (visión medial oblicua), donde se observa la estructura vascular descrita en (A) (flecha naranja).
Como hallazgos adicionales, en los cuerpos vertebrales de T10 y T11 y en la metáfisis proximal de ambos húmeros se observaron lesiones que generaban esclerosis y reacción perióstica. El linfonodo ilíaco medial derecho estaba marcadamente aumentado de tamaño (2,5 cm grosor x 5 cm largo), con morfología irregular y realce postcontraste marcado heterogéneo. El bazo presentaba múltiples lesiones nodulares de tamaño variable y el hígado mostraba dos lesiones milimétricas redondeadas e hipoatenuantes. Estos hallazgos eran compatibles con metástasis.
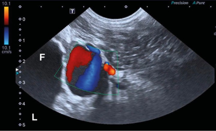
Se exploró ecográficamente la zona diafisaria del fémur derecho (Toshiba Xario 200, Canon Medical, Madrid) utilizando una sonda microconvexa con rango de frecuencias de 6 a 11 MHz. Se visualizó la lesión ósea descrita en otras pruebas. La cortical era irregular y discontinua, con un halo hipoecoico en el tejido blando. Junto a ella se halló una estructura hipoecoica redondeada y de pared fina (Fig. 4, video 1). La señal Doppler color de esta lesión era positiva con apariencia de remolino con color alternante rojo y azul (“signo de ying-yang”) (Fig. 5, video 2).
Figura 4
Imagen ecográfica en plano transversal desde el aspecto caudal del fémur. La izquierda de la imagen corresponde a la zona lateral de la extremidad. A nivel lateral se visualiza una estructura hiperecoica de superficie irregular con sombra acústica compatible con la cortical femoral alterada ya descrita. En íntimo contacto con ella se observa una estructura redondeada, de contenido hipoecoico y con estrecha relación con la vascularización regional sugestiva de lesión aneurismática (flecha roja). “L”: lateral; “F”: fémur.
Figura 5
Imagen ecográfica en plano transversal con empleo de Doppler color en la región caudodistal de la diáfisis del fémur derecho. Se observa una estructura redondeada que produce un efecto de remolino en el Doppler color (signo “ying-yang”). “L”: lateral; “F”: fémur.
Se tomó muestra mediante punción con aguja fina ecoguiada (Sterican 27G 40 mm, Bbraun, Barcelona) de las lesiones esplénicas, de la masa cervical tonsilar, del linfonodo retrofaríngeo derecho y de la lesión ósea del fémur derecho.
En la valoración citológica se comprobó que en tonsila, bazo y linfonodo las células presentaban morfología similar, con células epiteliales agrupadas, ovoides a redondas, con cantidades moderadas de citoplasma que, ocasionalmente, contenía vacuolas. Los núcleos eran redondos a ovoides, con moderada anisocitosis y anisocariosis. Estos hallazgos se consideraron compatibles con carcinoma (Fig. 6). Las citologías de la lesión ósea no fueron diagnósticas.
Figura 6
Muestra citológica obtenida mediante punción con aguja fina ecoguiada de la lesión tonsilar. Se observan células epiteliales agrupadas sobre un fondo basófilo con moderada anisocitosis y anisocariosis, hallazgos compatibles con carcinoma. Imagen microscópica con tinción Diff-Quik a 400 X.
El diagnóstico en base a los hallazgos citológicos y de las técnicas de imagen fue de carcinoma tonsilar derecho con metástasis en al menos el linfonodo retrofaríngeo derecho, bazo y, muy probablemente, fémur derecho. La lesión vascular visualizada tanto en TC como con ecografía era compatible con un pseudoaneurisma venoso que afectaba a la vena femoral.
Se decidió iniciar tratamiento con toceranib fosfato (Palladia, Pfizer, Madrid) a 2,5 mg/kg los lunes, miércoles y viernes, tramadol (Tralieve, Dechra, Barcelona) a 4 mg/kg cada 12 h y meloxicam (Movalis, Boehringer, Sant Cugat del Vallès) a 0,1 mg/kg cada 24 h. En ese momento se consideró prioritario el tratamiento de la enfermedad oncológica del paciente, dejando el posible tratamiento de la lesión aneurismática para una segunda fase.
El paciente acudió a visita de control un mes después. Se revisó ecográficamente la lesión vascular de la zona femoral derecha. La estructura aneurismática no presentaba señal Doppler y su contenido no era anecoico, como en el estudio inicial, sino ecogénico (Fig. 7). Los vasos adyacentes a esta lesión eran econormales y con señal Doppler que indicaba permeabilidad. Estos cambios eran compatibles con trombosis en el presunto pseudoaneurisma.
Figura 7
Imagen ecográfica en plano transversal de la región caudodistal del fémur derecho. A la derecha de la imagen se observa una estructura de superficie hiperecoica con sombra acústica que representa la cortical femoral. Se observa una lesión redondeada con contenido ecogénico (flecha roja) que contrasta con el contenido hipoecoico de la vena femoral adyacente. Este hallazgo es compatible con trombosis de la estructura aneurismática visualizada en estudios anteriores. Estudio realizado 1 mes después de la primera ecografía. “M”: medial; “F”: fémur.
En posteriores revisiones se constató que la evolución del paciente no era positiva, con apatía e hiporexia que no respondían a tratamiento. Se realizó una TC de seguimiento 3 meses después del diagnóstico inicial. Las lesiones metastásicas en hígado y bazo y las lesiones óseas visualizadas en el estudio previo habían aumentado en número y tamaño. Por ello, los tutores decidieron la eutanasia humanitaria del animal.
Discusión
Los aneurismas arteriales o venosos son hallazgos infrecuentes en medicina veterinaria. Se trata de dilataciones anormales de un segmento del vaso sanguíneo, afectando a sus tres capas (túnica íntima, túnica media y túnica adventicia). Pueden presentar dos morfologías: saculares (dilatación asimétrica de la pared vascular) y fusiformes (dilatación simétrica y concéntrica).1
Los aneurismas se pueden clasificar en aneurismas verdaderos y pseudoaneurismas. Los aneurismas verdaderos son dilataciones de más del 50 % del diámetro del vaso en las que las capas se mantienen intactas, aunque con adelgazamiento de la pared vascular. Se originan debido a una debilidad congénita o adquirida en la pared del vaso. Los pseudoaneurismas son dilataciones de la pared vascular donde alguna de sus capas no está intacta. El defecto (llamado cuello del pseudoaneurisma) está en la túnica íntima o media, con la adventicia convertida en un hematoma encapsulado comunicado con el vaso.1-3
Con ecografía se puede identificar un aneurisma como una estructura de contenido anecoico íntimamente relacionada con un vaso arterial o venoso.3 En los aneurismas de origen infeccioso, se describen paredes engrosadas e hiperecoicas.4,5 En nuestro caso, la pared de la lesión era fina. Mediante ecografía Doppler en el aneurisma se identifica una potente señal de color con un patrón en remolino que suele describirse como con forma de “ying-yang”.3,6
Aunque la diferencia entre un aneurisma y un pseudoaneurisma es histopatológica, la identificación del cuello del aneurisma y el estudio del patrón de Doppler espectral permiten el diagnóstico del pseudoaneurisma. Con ecografía en 2D es difícil diferenciar un pseudoaneurisma venoso de uno arterial. Con Doppler pulsado en los pseudoaneurismas arteriales se observa flujo pulsado arterial y un espectro Doppler bidireccional de gran amplitud (llamado “to and fro”).6 La ecografía Doppler permite diferenciar la lesión de otras estructuras de aspecto similar en modo B, como estructuras quísticas o abscesos.2-3 En nuestro caso se diagnosticó el pseudoaneurisma mediante ecografía Doppler dúplex, pero no se realizó un estudio con Doppler pulsado que permitiera la diferenciación entre pseudoaneurisma arterial o venoso. La TC ayudó a clarificar que se trataba de un aneurisma venoso.
En TC, las lesiones aneurismáticas se visualizan en fases postcontraste como colecciones de contraste con forma redondeada y bien delimitada adyacentes a un vaso sanguíneo. Se pueden diferenciar de un sangrado activo, ya que el volumen de contraste acumulado no aumenta en fases postcontraste tardías.7 En el presente caso no se realizaron fases tardías, dado que la lesión aneurismática fue un hallazgo incidental, y la TC se realizó originalmente para el estadiaje de la enfermedad neoplásica que se sospechaba que sufría el paciente, para lo cual no se consideró necesaria la realización de dicha fase postcontraste adicional.
Las etiologías más frecuentes de los pseudoaneurismas (tanto arteriales como venosos) en medicina humana son los traumatismos y las lesiones yatrogénicas, por ejemplo secundarias a cateterizaciones vasculares.3,8,9 Se han descrito lesiones aneurismáticas afectando tanto vasos arteriales como venosos de la extremidad pelviana, especialmente a la vena poplítea, que pueden ser asintomáticos o provocar trombosis pulmonar y poner en peligro la vida del paciente.10
En veterinaria se han descrito casos de aneurismas y pseudoaneurismas arteriales y venosos de diversas etiologías. De origen congénito se pueden citar casos afectando a la vena yugular externa izquierda11,12 y derecha13 de forma solitaria o al conjunto de la vena yugular, maxilar y linguofacial,14 a la vena cava craneal,15 y al sistema portal tanto extrahepático como intrahepático,16 así como un caso de un paciente con una continuación de la vena cava caudal en la vena ázigos y presencia de un aneurisma.17 Algunos trabajos reportan lesiones aneurismáticas secundarias a procesos infecciosos como Spirocerca lupi,18 Graphium spp,19 Candida spp,20 Aspergillus spp,4 y Pythium spp, entre otros. En el caso de la pitiosis, un 24 % de los pacientes de un estudio con 25 perros presentaban lesiones aneurismáticas arteriales, en todos los casos en arterias intraabdominales.5
Igual que en medicina humana, en veterinaria se han publicado casos con origen traumático y yatrogénico. Se ha descrito un caso de un cuerpo extraño vegetal migrante que lesiona una pared arterial;21 un caso de un pseudoaneurisma en la arteria radial de un gato causado por un mordisco de otro gato;22 un caso de un pseudoaneurisma en la arteria femoral de un perro de trabajo después de un traumatismo;23 casos de gatos con sendos pseudoaneurismas en la arteria carótida después de una venopunción para una flebotomía,2 para la administración de suero subcutáneo,24 o después de una cirugía de osteotomía ventral de la bulla timpánica derecha,25 y también una serie de cuatro pacientes caninos con historia de traumatismos orofaríngeos y con hallazgos en TC compatibles con la presencia de pseudoaneurismas arteriales.26 Recientemente Grand (2024) ha descrito una serie de dos casos de aparición de pseudoaneurismas afectando a la arteria tibial craneal tras sendas cirugías de traumatología.27
Los pseudoaneurismas pueden ser sintomáticos o asintomáticos. En medicina humana se considera una patología probablemente infradiagnosticada, ya que los casos asintomáticos con frecuencia no son investigados y pasan desapercibidos.8,9
En la TC realizada a nuestro paciente se observaba edema subcutáneo en el aspecto distal de la extremidad afectada y dilatación de la arteria y vena poplíteas distalmente a la lesión, lo que sugeriría que la lesión aneurismática ocasionaba congestión distal de la vascularización de la extremidad.
Los pseudoaneurismas pueden sufrir trombosis de manera espontánea o complicarse con infecciones, compresión de estructuras adyacentes o rotura de la pared vascular. En humanos se recomienda tratar todos los aneurismas de tamaño mayor a 25 mm de diámetro.23,28 Los tratamientos incluyen reparación vascular, procedimientos endovasculares como embolización o colocación de un stent, compresión ecoguiada o inyección ecoguiada de trombina.29
En nuestro caso se optó por aplazar el tratamiento de la lesión aneurismática, que se trombosó espontáneamente. Un estudio en pseudoaneurismas de la arteria radial en medicina humana reportó que los aneurismas de pequeño tamaño (menores de 3 cm de diámetro en dicho estudio) pueden trombosarse y resolverse con frecuencia de forma espontánea, tras una media de 27 días después del diagnóstico. En nuestro caso se detectó la trombosis espontánea del aneurisma 30 días después del diagnóstico inicial.30
En el caso presentado, teniendo en cuenta la cercanía de la lesión aneurismática a la zona de toma de biopsia en el fémur derecho, pensamos que probablemente se trate de un pseudoaneurisma venoso traumático que podría haber sido causado por una lesión vascular en la vena femoral producido en el momento de la realización de la biopsia ósea o debido a las alteraciones en la pared vascular provocadas por la lesión neoplásica.
Este caso clínico presenta algunas limitaciones. La principal es el hecho de no disponer de un estudio de TC o de ecografía de las extremidades pelvianas previo a la realización de la biopsia, lo que daría más certeza sobre el origen yatrogénico de la lesión aneurismática. Tampoco se dispone de confirmación histopatológica de la naturaleza de la lesión. Sin embargo, teniendo en cuenta la historia clínica, los hallazgos de las pruebas de diagnóstico por imagen y la revisión bibliográfica realizada, consideramos altamente probable que se tratase de un pseudoaneurisma de la vena femoral secundario a la realización de la biopsia ósea.
Fuente de financiación: este trabajo no se ha realizado con fondos comerciales, públicos o del sector privado.
Conflicto de intereses: los autores declaran que no existe conflicto de intereses.
Bibliografía
- 1.
Lasheras JC. The Biomechanics of Arterial Aneurysms. Annu Rev Fluid Mech 2007; 39(1): 293-319.
- 2.
Townsell MY, Biller DS, Grauer GF. Carotid artery pseudoaneurysm in a cat. J Feline Med Surg 2012; 14(11): 819-821.
[PubMed] - 3.
Viduetsky A, Simon R, Ho B. Venous Pseudoaneurysms: Sonographic Presentation, Correlation with Other Diagnostic Imaging Techniques, and Supported by the Literature. Journal of Diagnostic Medical Sonography 2024; 40(4): 388-396.
- 4.
Morabito S, Specchi S, Auriemma E, et al. Computed tomographic and ultrasonographic findings of abdominal arterial pseudoaneurysms caused by systemic mycosis in dogs. J Small Anim Pract 2020; 61(5): 300-307.
[PubMed] - 5.
Hamlin AN, Locker S, Huguet E, et al. Computed tomographic characteristics of confirmed and presumed noncutaneous pythiosis in 25 dogs. Vet Radiol Ultrasound 2024; 65(2): 87-98.
[PubMed] - 6.
Mahmoud MZ. «To-and-fro» waveform in the diagnosis of arterial pseudoaneurysms. World J Radiol 2015; 7(5): 89-99.
[PubMed] - 7.
Cellina M, Gibelli D, Martinenghi C, Oliva G, Floridi C. CT angiography of lower extremities from anatomy to traumatic and nontraumatic lesions: a pictorial review. Emerg Radiol 2020; 27(4): 441-50.
[PubMed] - 8.
Lenartova M, Tak T. Iatrogenic Pseudoaneurysm of Femoral Artery: Case Report and Literature Review. Clin Med Res 2003; 1(3): 243-247.
[PubMed] - 9.
Stone PA, AbuRahma AF, Flaherty SK, Bates MC. Femoral Pseudoaneurysms. Vasc Endovascular Surg 2006; 40(2): 109-117.
[PubMed] - 10.
Narui S, Okabe T, Fujioka T, et al. Massive pulmonary thrombosis caused by a popliteal venous aneurysm: A case report. J Cardiol Cases 2023; 27(2): 60-62.
[PubMed] - 11.
Routh CE, Hagen RU, Else RW, Strachan FA, Yool DA. Congenital Venous Aneurysm of the left external jugular vein. Vet Radiol Ultrasound 2009; 50(5): 506-508.
[PubMed] - 12.
Gardner L, Bayton W, Hughes J, et al. Unilateral external jugular vein aneurysm in a dog. J Vet Cardiol 2022; 41: 39-43.
[PubMed] - 13.
Lefebvre M, Merveille AC, Rizza M, Heimann M and Claeys S. Congenital venous aneurysm of the right external jugular vein in a great dane. Vet Rec Case Rep 2016; 4: e000308.
- 14.
Salmeri KR, Bellah JR, Ackerman N, Homer B. Unilateral congenital aneurysm of the jugular, linguofacial, and maxillary veins in a dog. J Am Vet Med Assoc 1991; 198(4): 651-654.
[PubMed] - 15.
Lee ND, Danoff K, Etue S, Rush JE. Cranial vena cava aneurysm in a dog. J Vet Cardiol 2007; 9(1): 47-51.
[PubMed] - 16.
Bertolini G, Caldin M. Computed tomography findings in portal vein aneurysm of dogs. Vet J 2012; 193(2): 475-480.
[PubMed] - 17.
Lockwood AJ, Sinnott-Stutzman VB, Mouser PJ, Tsai SL. Azygos continuation of the caudal vena cava with segmental aneurysm, lung lobe torsion and pulmonary thromboembolism in a dog. Clin Case Rep 2018; 6(2): 363-369.
[PubMed] - 18.
Van Der Merwe LL, Kirberger RM, Clift S, et al. Spirocerca lupi infection in the dog: A review. Vet J 2008; 176(3): 294-309.
[PubMed] - 19.
Murata Y, Chambers JK, Uchida K, et al. Mycotic aneurysm caused by Graphium species in a dog. J Vet Med Sci 2015; 77(10): 1285-1288.
[PubMed] - 20.
Gershenson RT, Melidone R, Sutherland-Smith J, Rogers CL. Abdominal aortic aneurysm associated with systemic fungal infection in a German shepherd dog. J Am Anim Hosp Assoc 2011; 47(1): 45-49.
[PubMed] - 21.
Llabrés-Díaz FJ, Brissot H, Ibarrola P. Celiac Artery Pseudoaneurysm associated with a migrating grass awn. Vet Radiol Ultrasound 2010; 51(5): 508-511.
[PubMed] - 22.
Hall JL, Lee KCL, Priestnall S, Lamb CR. Radial Artery Pseudoaneurysm in a Maine Coon Cat. Vet Surg 2011;40(7): 861-864.
[PubMed] - 23.
Tikekar A, Milner H. Diagnosis and treatment of a suspected pseudoaneurysm of the femoral artery in a working police dog. N Z Vet J 2015; 63(2): 121-124.
[PubMed] - 24.
Sterman A, Dickerson V, Voges A, et al. Carotid pseudoaneurysm in a kitten after accidental puncture with a needle. JFMS Open Rep 2022; 8(2): 20551169221118554
[PubMed] - 25.
Pfaff AW, Rozanski EA, Lynch AM. Massive haemorrhage associated with inadvertent incision of a suspected carotid artery pseudoaneurysm in a cat. J Small Anim Pract 2015; 56(12): 720-722.
[PubMed] - 26.
Ramalho GNV, Dennison-Gibby S, Dancer S, et al. Computed tomographic features of suspected arterial pseudoaneurysm in the head and neck of four dogs. Vet Radiol Ultrasound 2024; 65(6): 786-792.
[PubMed] - 27.
Grand JG. Delayed Life-Threatening Hemorrhage Caused by Cranial Tibial Artery Pseudoaneurysm in Two Dogs. J Am Anim Hosp Assoc 2024; 60(2): 74-80.
[PubMed] - 28.
Corriere MA, Guzman RJ. True and False Aneurysms of the Femoral Artery. Semin Vasc Surg 2005; 18(4): 216-223.
[PubMed] - 29.
Pezzullo JA, Dupuy DE, Cronan JJ. Percutaneous Injection of Thrombin for the Treatment of Pseudoaneurysms After Catheterization: An Alternative to Sonographically Guided Compression. Am J Roentgenol 2000; 175(4): 1035-1040.
[PubMed] - 30.
Nieddu ME. Post-traumatic aneurysm of the radial artery: A case report. J Ultrasound 2012; 15(3): 174-175.
[PubMed]










