Pericarditis crónica en un loro gris africano (Psittacus erithacus erithacus) causada por Salmonella
Chronic pericarditis in an African grey parrot (Psittacus erithacus erithacus) caused by Salmonella
T. Cardona, M. Máinez, C. Juan-Sallés
Contacto: greentere@hotmail.com
Resumen
Se presentó una hembra adulta de loro gris africano, con historial previo de picaje, por un episodio agudo de convulsiones, letargia, anorexia y diarrea. Se instauró inicialmente un tratamiento con calcio, vitaminas, enrofloxacina, fluidoterapia y glucosa, y fue colocada en una jaula de oxigenoterapia durante 5 días. La bioquímica sanguínea reveló un aumento de AST, ácidos biliares y CK, y un descenso moderado de albúmina, proteínas totales y sodio. Las radiografías mostraron hepatomegalia. Se añadió silimarina y lactulosa al tratamiento durante 1 mes y, después de finalizar éste, se presentó de nuevo con anorexia y letargia, y murió de forma hiperaguda. La necropsia reveló una pericarditis fibrinosa grave, hidroceloma moderado, pulmones enrojecidos y un hígado de color verde. Los hallazgos microscópicos consistieron en una pericarditis fibrinosa y necrosupurativa crónica, rabdomionecrosis grave con necrosis fibrinoide y trombosis de arterias intralesionales, celomitis visceral fibrinosa, necrosis hepática con colestasis hepatocelular grave y neumonía intersticial con atelectasia. Se cultivó Salmonella sp. del exudado pericárdico. El caso de salmonelosis aquí descrito resulta inusual, basado en el componente predominante de pericarditis crónica.
Palabras clave: Ácidos biliares, pericarditis fibrinosa, Psittacus erithacus, Salmonella sp..
Summary
An adult female African grey parrot with a previous history of feather picking was presented with an acute onset of seizures, lethargy, anorexia and diarrhea. Initially, it was treated with calcium, vitamins, enrofloxacin, fluids and glucose, and placed in an oxygen cage for 5 days. Serum chemistries revealed elevated AST, bile acids, and CK, as well as mildly decreased albumin, total protein, and sodium. Radiographs revealed hepatomegaly. It was additionally treated with silymarin and lactulose for 1 month. At the end of treatment, the bird was presented again with anorexia and lethargy, and died peracutely. Necropsy revealed severe fibrinous pericarditis, moderate hydrocoelom, diffusely reddened lungs, and a green discoloration of the liver. Microscopic findings consisted in severe chronic fibrinous and necrosuppurative pericarditis, chronic pectoral rhabdomyonecrosis with fibrinoid necrosis and thrombosis of intralesional arteries, fibrinous visceral coelomitis, hepatic necrosis with severe hepatocellular cholestasis, and interstitial pneumonia with atelectasis. Salmonella sp. was cultured from the pericardial exudate. The case of salmonellosis reported herein is unusual because of the predominant component of chronic pericarditis.
Keywords: Bile acids, fibrinous pericarditis, Psittacus erithacus, Salmonella sp..
Introducción
La salmonelosis en aves es una enfermedad causada por bacterias del género Salmonella que puede provocar epizootias con alta morbilidad y mortalidad en psitácidos.1,2Aunque algunas especies, como los loros, muestran aparentemente una mayor susceptibilidad,2,3 la salmonelosis puede afectar a numerosas especies de psitácidos, tanto en cautiverio como en su hábitat natural.4-9
Tanto Salmonella enterica arizonae como el serotipo Salmonella typhimurium son los más comúnmente aislados;10,11 sin embargo, existen numerosos serotipos que pueden cursar con enfermedad en psitácidos.1,6,9,12,13
La presentación clínica más habitual de esta enfermedad consiste en cuadros de muerte aguda o hiperaguda con diarrea, letargia, anorexia, polidipsia/poliuria y ocasionalmente síntomas neurológicos.3,10,11 En loros grises africanos (Psittacus erithacus erithacus) se han descrito cuadros más crónicos con dermatitis granulomatosa, artritis y tenovaginitis.3
En la bibliografía revisada por los autores, existen escasas descripciones de salmonelosis en psitácidos que desarrollen pericarditis,1 lesión más frecuente en gallináceas.14-19 En objetivo de este artículo es describir los hallazgos clínicos, patológicos y microbiológicos de un caso de salmonelosis en un loro gris, que resulta inusual por la presentación de una pericarditis fibrinosa crónica como lesión principal.
Caso clínico
Una hembra adulta de loro gris africano, criada en cautividad, se presentó inicialmente por un proceso de picaje localizado principalmente en la zona pectoral, que se extendió posteriormente a casi la totalidad de su superficie corporal, incluidas la cola, ambas patas y superficie ventral de ambas alas. Tanto la bioquímica sanguínea (Tabla 1) como el estudio radiológico no mostraron anormalidades, y se sospechó de un picaje psicógeno que fue tratado reforzando el enriquecimiento ambiental y mejorando las pautas de manejo. Aproximadamente un año más tarde se presentó con un episodio convulsivo agudo, letargia, anorexia y diarrea. La condición corporal era normal y fue tratado inicialmente con calcio a 0,4 ml/Kg BID IM (Calcio inyectable 24%, Bayer, Barcelona), vitaminas (Duphalite, Fort Dodge, Girona), enrofloxacina a 10 mg/Kg BID IM (Baytril 5%, Bayer, Kiel), fluidoterapia a 25 ml/Kg BID SC (Lactato- RyngerVet, Braun, Barcelona) combinada con glucosa a 0,5 ml/Kg bis SC (Glucosado 5%, Braun, Barcelona); adicionalmente, fue colocado en una jaula de oxigenoterapia durante 5 días.
AST: aspartato aminotransferasa. CK: creatin kinasa. a Resultados bioquímicos obtenidos con VetScan VS2 Avian/Reptilian profile Plus
El estudio radiológico, realizado bajo anestesia general inhalatoria con isofluorano (IsoVet, Braun, Morpeth, Reino Unido) y oxígeno con mascarilla (inducción al 5% y mantenimiento al 3%), reveló un marcado aumento de la silueta hepática, además de un incremento de la radiodensidad en el campo pulmonar (Fig. 1).
Figura 1
Proyección ventrodorsal de todo el cuerpo. Se observa hepatomegalia con silueta redondeada, así como un incremento difuso de la opacidad de ambos pulmones.
Durante el procedimiento anestésico se obtuvo también una muestra de 0,4 ml de sangre de la vena yugular derecha. Tras evaluar la bioquímica sérica (Tabla 1), los principales hallazgos consistían en elevaciones en los valores de aspartato aminotransferasa (AST), ácidos biliares, creatinquinasa (CK), y una disminución de la albúmina, proteínas totales y sodio.20
En base a los hallazgos obtenidos en las pruebas diagnósticas se sospechó de una alteración de la función hepática y daño muscular, cuyo origen podía ser inflamatorio o de diversas etiologías infecciosas tales como Chlamydophila sp., Salmonella sp. o Mycobacterium sp. Por motivos económicos, el propietario rehusó la realización de otras pruebas diagnósticas como una endoscopia y biopsia del hígado, que podrían haber proporcionado un diagnóstico definitivo y caracterización de la enfermedad hepática, por lo que sólo se añadió a la terapia ya establecida un compuesto a base de silimarina a 15 mg/Kg BID PO (Legalon, Rottapharm, Barcelona) y lactulosa a 0,5 ml/Kg BID PO (Duphalac, Abbot Laboratories, Madrid). La condición clínica del animal mejoró y comenzó a comer por sí mismo, por lo que fue dado de alta.
El loro continuó el tratamiento de silimarina-lactulosa durante un mes. Durante este periodo, el animal se mostraba activo y alerta, su dieta consistió en un pienso comercial sin semillas (Fruitblend with natural fruit flavors, Zupreem, Mission, U.S.A) y la ingesta de agua era normal. Un mes tras el inicio de la terapia se presentó nuevamente con anorexia y letargia, y murió de forma repentina aproximadamente dos horas después de su ingreso.
En la necropsia se observó disminución de la condición corporal por atrofia moderada del tejido adiposo; la musculatura pectoral estaba macroscópicamente dentro de los límites de la normalidad. La piel que recubría la cavidad celómica en su aspecto caudoventral era de color amarillento. Se observó pérdida intensa de plumas, particularmente en la zona pectoral. El músculo pectoral izquierdo contenía una zona de 1,5x1x1 cm de color rosa-blanquecino, con un centro de color marrón oscuro y aspecto necrótico (Fig. 2) y una consistencia incrementada al corte; el músculo pectoral derecho mostraba una lesión blanquecina similar, pero de pequeño tamaño. Se apreció distensión moderada de la cavidad celómica, que tras su apertura pudo constatarse que se debía al acúmulo de 12 ml de líquido seroso amarillento en su interior, a hepatomegalia moderada y a la presencia de un coágulo de sangre sobre el lóbulo derecho del hígado. El hígado mostraba un color verde (Fig. 3). En la serosa celómica visceral, particularmente en el intestino y ventrículo, se observaron zonas de edema y color amarillento. La cavidad pericárdica contenía una cantidad baja a media de líquido amarillo turbio, asociado a la presencia de placas de exudado amarillo o amarillo-rojizo de hasta 1,2 cm de dimensión, mayor en el pericardio parietal y visceral (Fig. 4). El corazón estaba ligeramente incrementado de tamaño debido a hipertrofia concéntrica leve del ventrículo derecho. Los pulmones eran de color rojo intenso. Se apreció un incremento leve en el tamaño de las paratiroides.
Figura 2
Imagen macroscópica del músculo pectoral izquierdo. Se aprecia un área amplia pálida y bien delimitada (cabezas de flecha) con un centro de necrosis y hemorragia (flecha).
Figura 3
Imagen macroscópica de la cavidad celómica con saco pericárdico abierto, en el cual se observa acúmulo de exudado (asterisco) con depósitos de fibrina (flechas) que llegan a formar una placa gruesa (e). Observar el color verdoso del hígado.
Figura 4
Imagen microscópica del pericardio. Se observa una zona amplia de necrosis e inflamación supurativa (e) rodeada por una empalizada de macrófagos y células gigantes multinucleadas (flechas) y fibrosis (f). (Hematoxilina-Eosina x10).
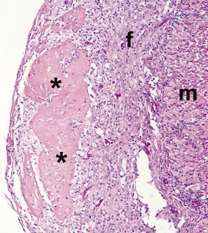
Figura 5
Imagen microscópica del epicardio. El pericardio visceral está engrosado debido a depósitos de fibrina (asteriscos) rodeados de tejido conjuntivo fibroso (f). m = miocardio. (Hematoxilina-Eosina x20).
Figura 6
Imagen microscópica del músculo esquelético pectoral. En la imagen se aprecia una zona de rabdomionecrosis (cabezas de flecha), rodeada por edema proteináceo (e), en zonas de pérdida de miocitos; dos arterias adyacentes muestran engrosamiento de su túnica media por depósitos de material fibrinoide (flecha). En el margen de esta lesión se observa fibrosis (f). (Hematoxilina-Eosina x10).
La serosa celómica visceral del proventrículo, ventrículo, páncreas, bazo y pulmones mostraba depósitos de fibrina con edema proteináceo e infiltrados de macrófagos. En el hígado se apreciaron focos generalmente centrolobulillares y, más raramente, periportales de necrosis hepatocelular infiltrados por escasos heterófilos, y con depósitos leves de fibrina a nivel perisinusoidal, dilatación de sinusoides por plasma hiperproteináceo, y proliferación de conductos biliares; estas lesiones se acompañaban de dilatación y fibrosis de las venas centrolobulillares. Con patrón difuso, se observó colestasis hepatocelular prominente. Las áreas porta mostraban infiltrados de linfocitos, células plasmáticas y heterófilos. Las lesiones del músculo esquelético correspondían a un gran hematoma, rodeado parcialmente por células gigantes multinucleadas, macrófagos y un menor número de linfocitos y heterófilos, así como por bandas amplias de fibrosis que infiltraban el endomisio adyacente. En una sección se observó una zona amplia de necrosis muscular, en cuyo centro, varias arterias de calibre medio en el endomisio, mostraban degeneración o necrosis fibrinoide intensa, con hemorragia medial y perivascular, trombosis ocasional, y edema proteináceo del endomisio (Fig. 6); estas lesiones estaban rodeadas por focos de fibrosis con atrofia y pérdida de miocitos intralesionales, e infiltradas en sus bordes de avance y en las zonas de necrosis por linfocitos, células plasmáticas y heterófilos. En el pulmón, la luz de los capilares aéreos estaba intensamente colapsada y se observaba hipertrofia prominente del epitelio parabronquial y de los capilares aéreos adyacentes, con fagocitosis de glóbulos eosinófilos en su citoplasma, así como acumulación luminal de macrófagos, células epiteliales descamadas, heterófilos, eritrocitos extravasados, fibrina y/o edema proteináceo. El intersticio estaba infiltrado por linfocitos, células plasmáticas y macrófagos, particularmente en zonas perivasculares, y se apreció trombosis de una arteria. Otras lesiones relevantes consistían en atrofia moderada del tejido adiposo, ateromatosis focal de bajo grado, e hipertrofia y vacuolización citoplasmática de células principales de la paratiroides.
Se obtuvo una muestra del exudado pericárdico durante la necropsia y se realizaron cultivos en ágar sangre, MacConkey, ágar chocolate y Sabouraud, de los que se aisló Salmonella sp. (identificada mediante el sistema API 20E para enterobacterias). El laboratorio no pudo realizar la tipificación mediante estudios microbiológicos adicionales debido a la eliminación de las placas de cultivo. No se aislaron hongos ni levaduras.
Discusión
La causa de la presentación clínica de este animal consistió en un cuadro infeccioso sistémico que cursó principalmente con pericarditis fibrinosa crónica. El diagnóstico etiológico de salmonelosis se basó en el estudio microbiológico de la muestra obtenida del exudado pericárdico.
Los resultados del análisis bioquímico llevaron a enfocar el diagnóstico hacia una hepatopatía, debido principalmente a la hipoproteinemia, asociada con hipoalbuminemia, y al aumento marcado de los ácidos biliares; el hallazgo radiológico de hepatomegalia se correlacionaba con estas alteraciones. La necrosis hepática observada mostraba un patrón básicamente centrolobulillar y asociación a dilatación y fibrosis de las venas centrolobulillares, lo cual es compatible, conjuntamente con el hidroceloma y la hipertrofia del ventrículo derecho, con una congestión hepática pasiva crónica por insuficiencia cardiaca congestiva de lado derecho; aunque la cardiomiopatía era de bajo grado macroscópico, por lo que también se consideró posible que la necrosis hepática pudiera tener un componente bacteriano debido a episodios de bacteriemia por Salmonella u otras bacterias. El estudio radiológico no permitió detectar la pericarditis, ya que esta no provocó un aumento de la silueta cardiaca apreciable mediante esta técnica.
Aunque la salmonelosis está descrita en psitácidas, su presentación habitual consiste en muerte aguda o hiperaguda con embolismo bacteriano/bacteriemia y hepatoesplenitis necrotizante aguda.1,2,4,21,22
El caso de salmonelosis aquí descrito resulta inusual debido al componente predominante de pericarditis fibrinosa crónica, que no se encuentra bien documentado en psitácidas aunque sí en galliformes14-19 y en la bibliografía médica.23-25
La rabdomionecrosis crónica presente en la musculatura pectoral puede deberse a la irritación local provocada por inyección de fármacos, como la enrofloxacina empleada en este caso, o a la salmonelosis.26,27 En casos de salmonelosis en pacientes humanos y animales domésticos, se puede observar necrosis fibrinoide y trombosis de las arterias musculares, con subsiguiente isquemia y necrosis del músculo.28-31 Las elevaciones de CK y AST se atribuyeron a estas lesiones musculares, aunque la necrosis hepática pudo contribuir también a las elevaciones de AST.
Fuente de financiación: Esta investigación no se realizó con fondos comerciales, públicos o del sector privado.
Conflicto de intereses: Los autores declaran que no existe conflicto de intereses en los datos publicados.
Bibliografía
- 1.
Tunca R, Toplu N, Kirkan S, et al. Pathomorphological, immunohistochemical and bacteriological findings in budgerigars (Melopsittacus undulatus) naturally infected with S. gallinarum. Avian Pathol 2012; 41(2):203-209.
- 2.
Ward MP, Ramer JC, Proudfoot J, Garner MM, Juan-Sallés C, Wu CC. Outbreak of salmonelosis in a zoologic collection of lorikeets and lories (Trichoglossus, Lorius, and Eos sp.). Avian Dis 2003; 47(2):493-498.
- 3.
Gerlach H. Bacteria. En: Ritchie BW, Harrison GJ, Harrison LR, ed. Avian medicine: Principles and Application. Lake Worth, FL: Wingers, 1994; 953-956.
- 4.
Piccirillo A, Mazzariol S, Caliari D, Menandro ML. Salmonella typhimurium phage type DT160 infection in two Moluccan cockatoos (Cacatua moluccensis): clinical presentation and pathology. Avian Dis 2010; 54(1):131-135.
[pub1157_14.10 - manha.indd] - 5.
Vigo GB, Origlia J, Gormatti D, et al. Isolation of Salmonella typhimurium from dead blue and gold macaws (Ara ararauna). Avian Dis 2009; 53(1):135-138.
[pub1157_14.10 - manha.indd] - 6.
Madewell BR, McChesney AE. Salmonellosis in a human infant, a cat, and two parakeets in the same household. J Am Vet Med Assoc 1975; 167(12): 1089-1090.
- 7.
Marietto-Gonçalves GA, de Almeida SM, de Lima ET, Okamoto AS, Pinczowski P, Andreatti Filho RL. Isolation of Salmonella enterica serovar enteritidis in blue-fronted Amazon parrot (Amazona aestiva). Avian Dis 2010; 54(1):151-155.
- 8.
Deem SL, Noss AJ, Cuéllar RL, Karesh WB. Health evaluation of free-ranging and captive blue-fronted Amazon parrots (Amazona aestiva) in the Gran chaco, Bolivia. J Zoo Wildl Med 2005; 36(4):598-605.
[PubMed] - 9.
Sharma VD, Sethi MS, Singh SP. The occurrence of salmonellae in free-flying-avifauna: isolation and antibiogram. Int J Zoonoses 1980; 7(1):54-57.
- 10.
Doneley RJT. Bacterial and parasitic diseases of parrots. Vet Clin North Am Exot Anim Pract 2009; 12(3):417-432.
- 11.
Harcourt-Brown NH. Psittacine birds. En: Tully TN, Dorrestein GM, Jones AK, ed. Handbook of Avian Medicine 2nd ed. Philadelphia: Saunders Elsevier; 2009; 155-156.
- 12.
Orosz SE, Chengappa MM, Oyster RA, Morris PJ, Trock S, Altekruse S. Salmonella enteritidis infection in two species of psittaciformes. Avian Dis 1992; 36(3):766-769.
- 13.
Phillips WE Jr, Hatkin JM. Isolation of Salmonella houtenae from a cockateel. Avian Dis 1978; 22(2):350-353.
- 14.
Myoujin Y, Yona R, Umiji S, Tanimoto T, Otsuki K, Murase T. Salmonella enterica subsp. enterica serovar Agona infections in commercial pheasant flocks. Avian Pathol 2003; 32(4):355-359.
- 15.
Alisantosa B, Shivaprasad HL, Dhillon AS, Jack O, Schaberg D, Bandli D. Pathogenicity of Salmonella enteritidis phage types 4, 8 and 23 in specific pathogen free chicks. Avian Pathol 2000; 29(6):583-592.
- 16.
Dhillon AS, Alisantosa B, Shivaprasad HL, Jack O, Schaberg D, Bandli D. Pathogenicity of Salmonella enteritidis phage types 4, 8, and 23 in broiler chicks. Avian Dis 1999; 43(3):506-515.
- 17.
Gorham SL, Kadavil K, Vaughan E, Lambert H, Abel J, Pert B. Gross and microscopic lesions in young chickens experimentally infected with Salmonella enteritidis. Avian Dis 1994; 38(4):816-821.
- 18.
Cooper GL, Venables LM, Woodward MJ, Hormaeche CE. Invasiveness and persistence of Salmonella enteritidis, Salmonella typhimurium, and a genetically defined S. enteritidis aroA strain in young chickens. Infect Immun 1994; 62(11):4739-4746.
- 19.
Padron M. Salmonella typhimurium outbreak in broiler chicken flocks in Mexico. Avian Dis 1990; 34(1):221-223.
- 20.
Altman RB, Clubb SL, Dorrestein GM, Quesenberry K. Haematology/biochemical reference ranges. En: Tully TN, Dorrestein GM, Jones AK, ed. Handbook of Avian Medicine 2nd ed. Philadelphia: Saunders Elsevier; 2009; 439- 440.
- 21.
Orós J, Rodríguez JL, Fernández A, Herráez P, Espinosa de los Monteros A, Jacobson ER. Simultaneous occurrence of Salmonella arizonae in a sulfur crested cockatoo (Cacatua galerita galerita) and iguanas. Avian Dis 1998; 42(4):818-823.
- 22.
Madewell BR, McChesney AE. Salmonellosis in a human infant, a cat, and two parakeets in the same household. J Am Vet Med Assoc 1975; 167(12):1089-1090.
- 23.
Takamiya Y, Shirai K, Fujino M, et al. Purulent pericarditis with Salmonella enteritidis in a patient with CD4/CD8 depression. J Cardiol 2008; 51(3):201-204.
- 24.
Can F, Demirbilek M, Erdem B, Ciftci U, Tunaoglu M, Laleli Y. A purulent pericarditis caused by Salmonella typhimurium. J Med Microbiol 2004; 53(10):1051-1052.
- 25.
Pace F, Fanfarillo F, Giorgino F, Baratta L. Salmonella enteritidis pericarditis: case report and review of the literature. Ann Ital Med Int 2002; 17(3):189-192.
- 26.
Dorrestein GM. Nursing the sick bird. En: Tully TN, Dorrestein GM, Jones AK, ed. Handbook of Avian Medicine 2nd ed. Philadelphia: Saunders Elsevier; 2009; 117.
- 27.
Doneley B. Avian Medicine and Surgery in Practice 2nd ed. London: Manson Publishing; 2011; 288
- 28.
Sandmeier P. Management of canaries, finches and mynahs. En: Harrison GJ, Lightfoot TL, ed. Clinical Avian Medicine. Vol II. Palm Beach, FL: Spix Publishing; 2006:896- 897.
- 29.
Pellegrini-Masini A, Dolente BA, Habecker PL, Jesty SA. Myonecrosis and cutaneous infarction associated with Salmonella serovar Infantum infection in a horse. J Am Vet Med Assoc 2004; 225(5):722-725.
- 30.
Jørring S, Kolmos HJ, Klareskov B. Myonecrosis in the leg caused by Salmonella enteritidis. Scand J Infect Dis 1994; 26(5):619-621.
- 31.
Quale JM, Lonano F. Salmonella myonecrosis in a patient with diabetes mellitus. Am J Med Sci 1991; 301(5):335-336.










